Promotional price valid on web orders only. Your contract pricing may differ. Interested in signing up for a dedicated account number?
Learn More
Learn More
Invitrogen™ LIG3 Polyclonal Antibody

Rabbit Polyclonal Antibody
Supplier: Invitrogen™ PA5109910
Description
Immunogen sequence: CDPRHKDCLL REFRKLCAMV ADNPSYNTKT QIIQDFLRKG SAGDGFHGDV YLTVKLLLPG VIKTVYNLND KQIVKLFSRI FNCNPDDMAR DLEQGDVSET IRVFFEQSKS FPPAAKSLLT IQEVDEFLLR LSKLTKEDEQ QQALQDIASR CTANDLKCII RLIKHDLKMN SGAKHVLDAL DPNAYEAFKA SRNLQDVVER VLHNAQE.
There are four distinct ligase proteins found in mammalian cells. The activity of these DNA ligases is required for the joining of DNA strand breaks that occur during DNA replication, repair and recombination. DNA Ligase III gene product migrates as a 100 kDa (a-form) protein in somatic tissues, is ubiquitously expressed and complexes with XRCC-1 and a 97 kDa (beta form) protein that is found in testis. DNA Ligase III is involved in rejoining DNA single-strand breaks and in the base excision repair pathway.
Specifications
| LIG3 | |
| Polyclonal | |
| Unconjugated | |
| LIG3 | |
| D11Wsu78e; DNA ligase (ATP) 3; DNA ligase 3; DNA ligase III; hypothetical protein; LIG2; LIG3; ligase II, DNA, ATP-dependent; ligase III, DNA, ATP-dependent; polydeoxyribonucleotide synthase [ATP] 3; Unknown (protein for MGC:134139) | |
| Rabbit | |
| Affinity Chromatography | |
| RUO | |
| 16882, 303369, 3980 | |
| -20°C, Avoid Freeze/Thaw Cycles | |
| Liquid |
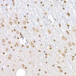
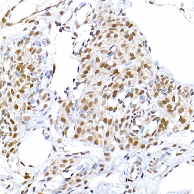
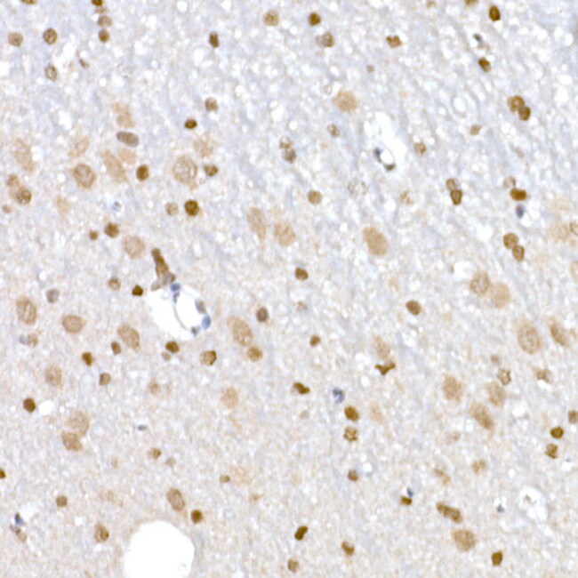
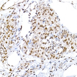
| ELISA, Immunohistochemistry (Paraffin), Western Blot, Immunocytochemistry | |
| 0.75 mg/mL | |
| PBS with 50% glycerol and 0.05% ProClin 300; pH 7.3 | |
| P49916, P97386 | |
| LIG3 | |
| Recombinant fusion protein containing a sequence corresponding to amino acids 254-460 of human DNA Ligase III/LIG3 (NP_0392692). | |
| 100 μL | |
| Primary | |
| Human, Mouse, Rat | |
| Antibody | |
| IgG |
Safety and Handling
WARNING: Cancer - www.P65Warnings.ca.gov
Product Content Correction
Your input is important to us. Please complete this form to provide feedback related to the content on this product.
Product Title
Spot an opportunity for improvement?Share a Content Correction