Learn More
Description
Specifications
Specifications
| Antigen | LIM Kinase 1 (p Thr508) |
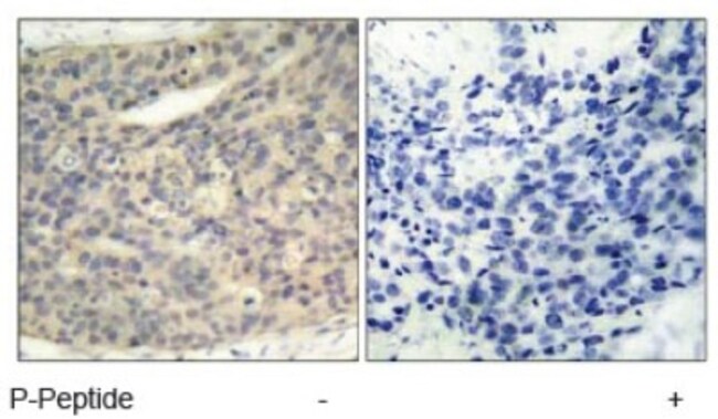
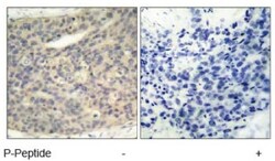
| Applications | Western Blot, Immunohistochemistry, Immunocytochemistry, Immunofluorescence, Immunohistochemistry (Paraffin) |
| Classification | Polyclonal |
| Concentration | 1.0 mg/mL |
| Conjugate | Unconjugated |
| Dilution | Western Blot 1:500-1:1000, Immunohistochemistry 1:50-1:100, Immunocytochemistry/Immunofluorescence 1:100-1:200, Immunohistochemistry-Paraffin 1:50-1:100 |
| Formulation | PBS (without Mg2+ and Ca2+), pH 7.4, 150 mM NaCl, 50% glycerol with 0.02% Sodium Azide |
| Gene Accession No. | P53667 |
| Gene Alias | EC 2.7.11.1, LIM domain kinase 1, LIM motif-containing protein kinase, LIMKLIMK-1 |
| Gene Symbols | LIMK1 |
| Show More |
For Research Use Only
By clicking Submit, you acknowledge that you may be contacted by Fisher Scientific in regards to the feedback you have provided in this form. We will not share your information for any other purposes. All contact information provided shall also be maintained in accordance with our Privacy Policy.
