Promotional price valid on web orders only. Your contract pricing may differ. Interested in signing up for a dedicated account number?
Learn More
Learn More
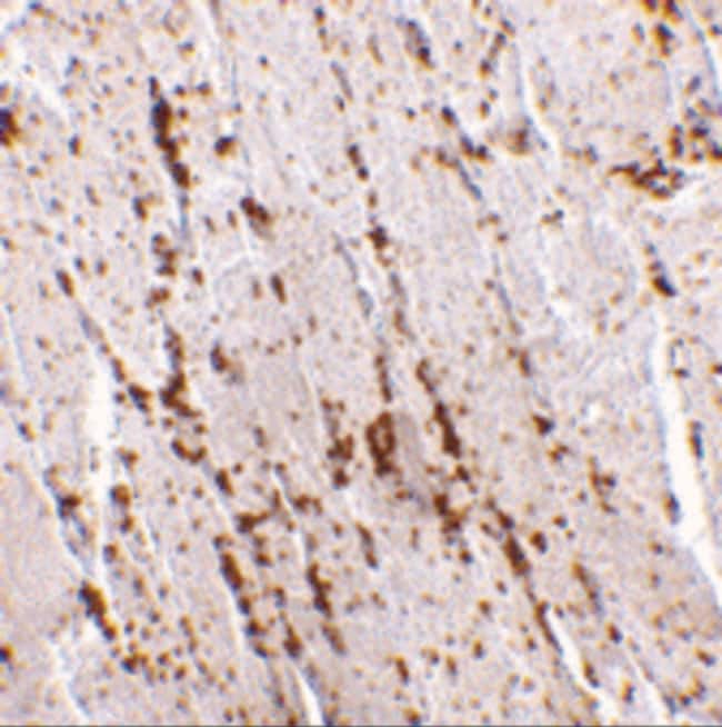
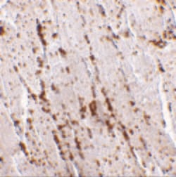
Invitrogen™ LIMP2 Polyclonal Antibody

Rabbit Polyclonal Antibody
Supplier: Invitrogen™ PA520540
Description
Despite its predicted molecular weight, LIMP2 often migrates at 80-85kDa in SDS-PAGE. A suggested positive control is human skeletal muscle tissue lysate. PA5-20540 can be used with blocking peptide PEP-0660.
High density lipoproteins (HDLs) play a critical role in cholesterol metabolism and their plasma concentrations are inversely correlated with risk for atherosclerosis. SR-BI and SR-BII (previously known as SR-BI.2) are the alternatively spliced products of a single gene. SR-BII differs from SR-BI in that the encoded c-terminal cytoplasmic domain is almost completely different. SR-BII binds HDLs and mediates selective uptake of HDL cholesteryl ester, but with an approximately 4-fold lower efficiency than SR-BI. Nuclease protection assays show SR-BII to be abundant in mouse tissues expressing SR-BI, with SR-BII expression found in liver, adrenal glands, and testes. Although the role of SR-BII is not completely clear, research suggests that it may be a functional HDL receptor. In addition, SR-BII mRNA results from the alternative splicing of SR-BI precursor transcripts with the SR-BII isoform mediating selective transfer of lipid between HDL and cells. The relative expression and functional activities of these two isoforms create a potential means of regulating selective lipid transfer between HDL and cells.
Specifications
| LIMP2 | |
| Polyclonal | |
| Unconjugated | |
| SCARB2 | |
| 85 kDa lysosomal membrane sialoglycoprotein; 85 kDa lysosomal sialoglycoprotein scavenger receptor class B, member 2; 9330185J12Rik; AMRF; CD 36; CD36; CD36 antigen (collagen type I receptor, thrombospondin receptor)-like 2; CD36 antigen (collagen type I receptor, thrombospondin receptor)-like 2 (lysosomal integral membrane protein II); CD36 antigen-like 2; CD36 molecule; Cd36l2; EPM4; HLGP85; I79_021583; LGP85; LIMP II; LIMP2; LIMP-2; LIMPII; Lysosome membrane protein 2; lysosome membrane protein II; MLGP85; Scarb2; Scavenger receptor class B member 2; scavenger receptor class B, member 2; sCD 36; sCD36; soluble CD 36; soluble CD36; SR-B2; SR-BII | |
| Rabbit | |
| Antigen affinity chromatography | |
| RUO | |
| 117106, 12492, 950 | |
| 4°C | |
| Liquid |
| Immunohistochemistry, Western Blot | |
| 1 mg/mL | |
| PBS with 0.02% sodium azide | |
| O35114, P27615, Q14108 | |
| SCARB2 | |
| A 16 amino acid peptide from near the center of human LIMP2. | |
| 100 μg | |
| Primary | |
| Human, Mouse, Rat | |
| Antibody | |
| IgG |
Safety and Handling
WARNING: Cancer - www.P65Warnings.ca.gov
Product Content Correction
Your input is important to us. Please complete this form to provide feedback related to the content on this product.
Product Title
Spot an opportunity for improvement?Share a Content Correction