Promotional price valid on web orders only. Your contract pricing may differ. Interested in signing up for a dedicated account number?
Learn More
Learn More
Invitrogen™ LNP Polyclonal Antibody

Rabbit Polyclonal Antibody
Supplier: Invitrogen™ PA553133
Description
Immunogen sequence: GALDRIVEYL VGDGPQNRYA LICQQCFSHN GMALKEEFEY IAFRCAYCFF LNPARKTRPQ APRLPEFSFE KRQVVEGSSS VGPLPSGSVL SSDNQFNEES LEHDVLDDNT EQTDDKIPAT EQ Highest antigen sequence identity to the following orthologs: Mouse - 85%, Rat - 71%.
LNP (LNPK) is an endoplasmic reticulum (ER)-shaping membrane protein that plays a role in determining ER morphology. It is involved in the stabilization of nascent three-way ER tubular junctions within the ER network and may play a role as a curvature-stabilizing protein within the three-way ER tubular junction network. LNP is involved in central nervous system development and may be involved in limb development.
Specifications
| LNP | |
| Polyclonal | |
| Unconjugated | |
| LNPK | |
| 2310011O18Rik; 4921514L11Rik; 9530051D01Rik; AI666268; Endoplasmic reticulum junction formation protein lunapark; ER junction formation factor lunapark; Kiaa1715; limb and neural patterns; LNP; LNP1; Lnpk; lunapark; lunapark, ER junction formation factor; protein lunapark; protein ulnaless; Ul; Uln; ulnaless | |
| Rabbit | |
| Antigen Affinity Chromatography | |
| RUO | |
| 80856 | |
| Store at 4°C short term. For long term storage, store at -20°C, avoiding freeze/thaw cycles. | |
| Liquid |
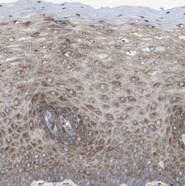
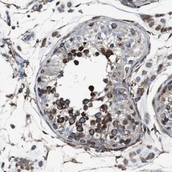
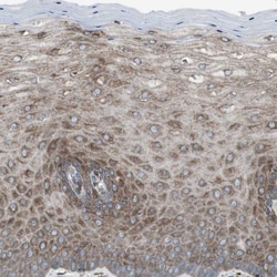
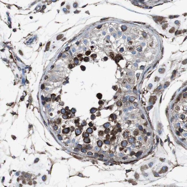
| Immunohistochemistry (Paraffin), Western Blot, Immunocytochemistry | |
| 0.20 mg/mL | |
| PBS with 40% glycerol and 0.02% sodium azide; pH 7.2 | |
| Q9C0E8 | |
| LNPK | |
| Recombinant protein corresponding to Human LNP. Recombinant protein control fragment (Product #RP-90981). | |
| 100 μL | |
| Primary | |
| Human | |
| Antibody | |
| IgG |
Product Content Correction
Your input is important to us. Please complete this form to provide feedback related to the content on this product.
Product Title
Spot an opportunity for improvement?Share a Content Correction