Promotional price valid on web orders only. Your contract pricing may differ. Interested in signing up for a dedicated account number?
Learn More
Learn More
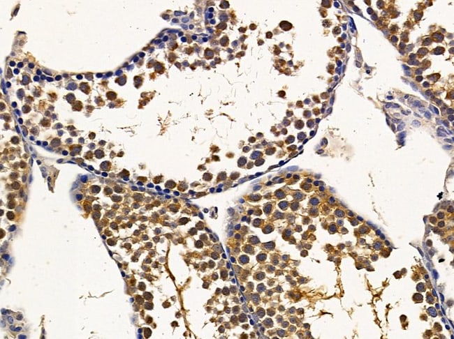
LOR Polyclonal Antibody

Supplier: Thermo Scientific PA5115518
Description
Specifications
| LOR | |
| Polyclonal | |
| Unconjugated | |
| LORICRIN | |
| AI036317; LOR; Loricrin; loricrin cornified envelope precursor protein; LRN; MGC111513; RGD1559993; S77319 | |
| Rabbit | |
| Affinity Chromatography | |
| RUO | |
| 4014 | |
| -20°C | |
| Liquid |
| Immunohistochemistry (Paraffin), Western Blot | |
| 1 mg/mL | |
| PBS with 50% glycerol and 0.02% sodium azide | |
| P23490 | |
| LORICRIN | |
| A synthesized peptide derived from human LOR(Accession P23490), corresponding to amino acid residues M1-G31. | |
| 100 μL | |
| Primary | |
| Human | |
| Antibody | |
| IgG |
Safety and Handling
WARNING: Cancer - www.P65Warnings.ca.gov
Product Content Correction
Your input is important to us. Please complete this form to provide feedback related to the content on this product.
Product Title
Spot an opportunity for improvement?Share a Content Correction