Promotional price valid on web orders only. Your contract pricing may differ. Interested in signing up for a dedicated account number?
Learn More
Learn More
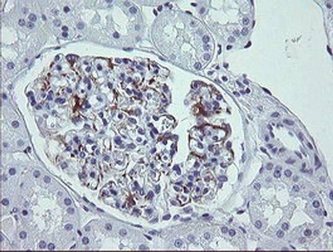
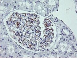
LRRC25 Monoclonal Antibody (OTI1A2), TrueMAB™, OriGene

Mouse Monoclonal Antibody
Supplier: OriGene TA504938

Description
May be involved in the activation of cells of innate and acquired immunity.Specifications
LRRC25 | |
Monoclonal | |
1 mg/mL | |
PBS with 1% BSA, 50% glycerol and 0.02% sodium azide | |
Q8N386 | |
LRRC25 | |
Full length human recombit protein of human LRRC25 produced in HEK293T cell. | |
100 μL | |
Primary | |
Human | |
Antibody | |
IgG1 |
Flow Cytometry, Immunohistochemistry (Paraffin), Western Blot | |
OTI1A2 | |
Unconjugated | |
LRRC25 | |
MAPA | |
Mouse | |
Affinity Chromatography | |
RUO | |
126364 | |
-20° C, Avoid Freeze/Thaw Cycles | |
Liquid |
Product Content Correction
The Fisher Scientific Encompass Program offers items which are not part of our distribution portfolio. These products typically do not have pictures or detailed descriptions. However, we are committed to improving your shopping experience. Please use the form below to provide feedback related to the content on this product.
Product Title
Spot an opportunity for improvement?Share a Content Correction