Promotional price valid on web orders only. Your contract pricing may differ. Interested in signing up for a dedicated account number?
Learn More
Learn More
Invitrogen™ LRRC3 Polyclonal Antibody

Rabbit Polyclonal Antibody
Supplier: Invitrogen™ PA553685
Description
Immunogen sequence: GAVAVFCSLR GLQEVPEDIP ANTVLLKLDA NKISHLPDGA FQHLHRLREL DLSHNAIEAI GSATFAGLAG GLRLLDLSYN RIQRIPKDAL GKLSAKIRLS HNPLHCECAL QEALWELKLD PDSVDEIACH TSVQEEFVGK P Highest antigen sequence identity to the following orthologs: Mouse - 87%, Rat - 88%.

Specifications
LRRC3 | |
Polyclonal | |
Unconjugated | |
LRRC3 | |
C21orf102; leucine rich repeat containing 3; leucine-rich repeat-containing protein 3; LRRC3; LRRC3A; UNQ9233/PRO31982 | |
Rabbit | |
Antigen affinity chromatography | |
RUO | |
81543 | |
Store at 4°C short term. For long term storage, store at -20°C, avoiding freeze/thaw cycles. | |
Liquid |
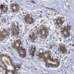
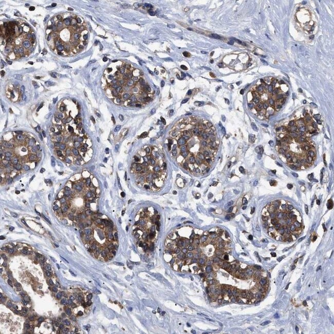
Immunohistochemistry (Paraffin), Western Blot | |
0.4 mg/mL | |
PBS with 40% glycerol and 0.02% sodium azide; pH 7.2 | |
Q9BY71 | |
LRRC3 | |
Recombinant protein corresponding to Human LRRC3. Recombinant protein control fragment (Product #RP-90358). | |
100 μL | |
Primary | |
Human | |
Antibody | |
IgG |
Safety and Handling
WARNING: Cancer - www.P65Warnings.ca.gov
Product Content Correction
Your input is important to us. Please complete this form to provide feedback related to the content on this product.
Product Title
Spot an opportunity for improvement?Share a Content Correction