Promotional price valid on web orders only. Your contract pricing may differ. Interested in signing up for a dedicated account number?
Learn More
Learn More
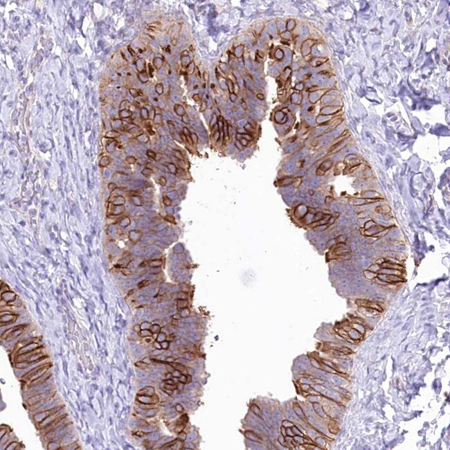
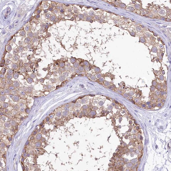
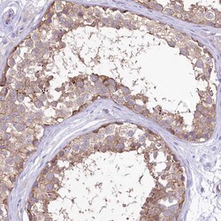
Invitrogen™ LRRC34 Polyclonal Antibody

Rabbit Polyclonal Antibody
Supplier: Invitrogen™ PA557384
Description
Immunogen sequence: LHILQEVDEE IKKGLAAGIT LNIAGNNRLV PVERVTGEDF WILSKILKNC LYINGLDVGY NLLCDVGAYY AAKLLQKQ Highest antigen sequence identity to the following orthologs: Mouse - 64%, Rat - 64%.
Specifications
| LRRC34 | |
| Polyclonal | |
| Unconjugated | |
| LRRC34 | |
| 1700007J06Rik; leucine rich repeat containing 34; leucine-rich repeat-containing protein 34; LRRC34; SPATA34; spermatogenesis associated SPATA34 | |
| Rabbit | |
| Antigen affinity chromatography | |
| RUO | |
| 151827 | |
| Store at 4°C short term. For long term storage, store at -20°C, avoiding freeze/thaw cycles. | |
| Liquid |
| Immunohistochemistry (Paraffin), Immunocytochemistry | |
| 0.05 mg/mL | |
| PBS with 40% glycerol and 0.02% sodium azide; pH 7.2 | |
| Q8IZ02 | |
| LRRC34 | |
| Recombinant protein corresponding to Human LRRC34. Recombinant protein control fragment (Product #RP-96455). | |
| 100 μL | |
| Primary | |
| Human | |
| Antibody | |
| IgG |
Product Content Correction
Your input is important to us. Please complete this form to provide feedback related to the content on this product.
Product Title
Spot an opportunity for improvement?Share a Content Correction