Promotional price valid on web orders only. Your contract pricing may differ. Interested in signing up for a dedicated account number?
Learn More
Learn More
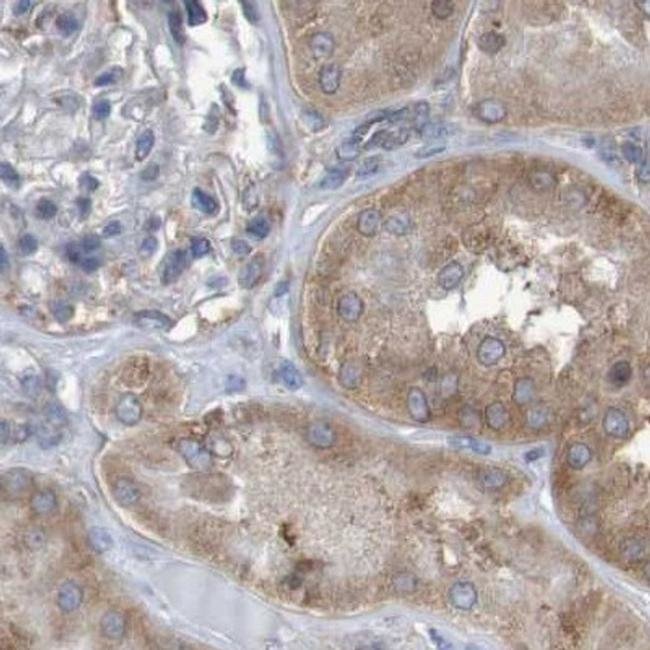
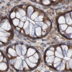
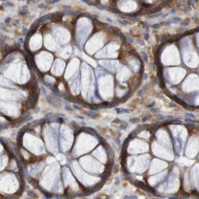
Invitrogen™ LRRC47 Polyclonal Antibody

Rabbit Polyclonal Antibody
Supplier: Invitrogen™ PA552894
Description
Immunogen sequence: NCLDSFPAEL FRPGALPLLS ELAAADNCLR ELSPDIAHLA SLKTLDLSNN QLSEIPAELA DCPKLKEINF RGNKLRDKRL EKMVSGCQTR SILEYLRVGG RGGGKGKGRA E Highest antigen sequence identity to the following orthologs: Mouse - 89%, Rat - 92%.
LRRC47 gene ontology annotations related to this gene include phenylalanine-tRNA ligase activity; RNA binding.
Specifications
| LRRC47 | |
| Polyclonal | |
| Unconjugated | |
| Lrrc47 | |
| 2900010D03Rik; AA960559; KIAA1185; leucine rich repeat containing 47; leucine-rich repeat-containing protein 47; LRRC47; mKIAA1185; RGD1308599; RP1-286D6.3 | |
| Rabbit | |
| Antigen Affinity Chromatography | |
| RUO | |
| 362672, 57470, 72946 | |
| Store at 4°C short term. For long term storage, store at -20°C, avoiding freeze/thaw cycles. | |
| Liquid |
| Immunohistochemistry (Paraffin), Western Blot | |
| 0.8 mg/mL | |
| PBS with 40% glycerol and 0.02% sodium azide; pH 7.2 | |
| Q505F5, Q8N1G4 | |
| Lrrc47 | |
| Recombinant protein corresponding to Human LRRC47. Recombinant protein control fragment (Product #RP-88844). | |
| 100 μL | |
| Primary | |
| Human, Mouse, Rat | |
| Antibody | |
| IgG |
Product Content Correction
Your input is important to us. Please complete this form to provide feedback related to the content on this product.
Product Title
Spot an opportunity for improvement?Share a Content Correction