Promotional price valid on web orders only. Your contract pricing may differ. Interested in signing up for a dedicated account number?
Learn More
Learn More
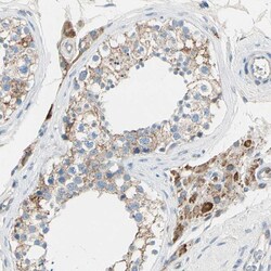
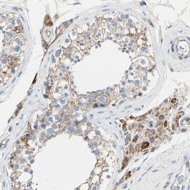
LY6G6F Polyclonal Antibody

LY6G6F Polyclonal Antibody
Supplier: Thermo Scientific PA552508
Description
LY6G6F Polyclonal Antibody for IHC
Specifications
| LY6G6F | |
| Polyclonal | |
| Unconjugated | |
| LY6G6F | |
| C6orf21; G6F; LY6G6D; LY6G6F; Lymphocyte antigen 6 complex locus protein G6f; lymphocyte antigen 6 complex, locus G6D; lymphocyte antigen 6 complex, locus G6F; NG32 | |
| Rabbit | |
| Antigen Affinity Chromatography | |
| RUO | |
| 259215 | |
| Store at 4°C short term. For long term storage, store at -20°C, avoiding freeze/thaw cycles. | |
| Liquid |
| Immunohistochemistry (Paraffin) | |
| 0.1 mg/mL | |
| PBS with 40% glycerol and 0.02% sodium azide; pH 7.2 | |
| Q5SQ64 | |
| LY6G6F | |
| Recombinant protein corresponding to Human LY6G6F. Recombinant protein control fragment (Product #RP-89648). | |
| 100 μL | |
| Primary | |
| Human | |
| Antibody | |
| IgG |
Product Content Correction
Your input is important to us. Please complete this form to provide feedback related to the content on this product.
Product Title
Spot an opportunity for improvement?Share a Content Correction