Promotional price valid on web orders only. Your contract pricing may differ. Interested in signing up for a dedicated account number?
Learn More
Learn More
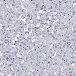
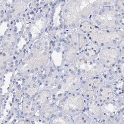
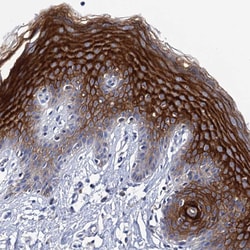
Invitrogen™ LYPD3 Polyclonal Antibody

Rabbit Polyclonal Antibody
Supplier: Invitrogen™ PA5111138
Description
Immunogen sequence: YFSPRIPPLV RLPPPEPTTV ASTTSVTTST SAPVRPTSTT KPMPAPTSQT PRQGVEHEAS RDEEPRLTGG AAGHQDRSNS GQYP.
Lymphocyte antigen 6 family member D3 (LYPD3), also known as C4.4A, is a gene located on chromosome 19q13.11 that encodes a glycosylphosphatidylinositol (GPI)-anchored protein belonging to the Ly6/uPAR superfamily. LYPD3 is expressed in various epithelial tissues and is implicated in cellular adhesion and migration processes. The protein plays a significant role in tumor progression and metastasis, with its expression being notably upregulated in several cancers, including squamous cell carcinoma and lung cancer. LYPD3 contributes to the invasive behavior of cancer cells by interacting with matrix components and modulating signaling pathways related to cell motility and adhesion. Its involvement in cancer biology makes LYPD3 a potential biomarker for tumor aggressiveness and a target for therapeutic intervention aimed at inhibiting cancer cell dissemination. Research continues to explore its functional mechanisms in oncogenesis and potential applications in cancer treatment strategies.
Specifications
| LYPD3 | |
| Polyclonal | |
| Unconjugated | |
| LYPD3 | |
| 2310061G07Rik; C4.4A; GPI-anchored metastasis-associated protein C4.4A homolog; GPI-anchored metastasis-associated protein homolog; LY6/PLAUR domain containing 3; ly6/PLAUR domain-containing protein 3; LYPD3; Matrigel-induced gene C4 protein; MIG-C4; UNQ491/PRO1007 | |
| Rabbit | |
| Antigen Affinity Chromatography | |
| RUO | |
| 27076 | |
| Store at 4°C short term. For long term storage, store at -20°C, avoiding freeze/thaw cycles. | |
| Liquid |
| Immunohistochemistry (Paraffin) | |
| 0.20 mg/mL | |
| PBS with 40% glycerol and 0.02% sodium azide; pH 7.2 | |
| O95274 | |
| LYPD3 | |
| Recombinant Protein corresonding to Human LYPD3. Recombinant protein control fragment (Product #RP-99020). | |
| 100 μL | |
| Primary | |
| Human | |
| Antibody | |
| IgG |
Safety and Handling
WARNING: Cancer - www.P65Warnings.ca.gov
Product Content Correction
Your input is important to us. Please complete this form to provide feedback related to the content on this product.
Product Title
Spot an opportunity for improvement?Share a Content Correction