Promotional price valid on web orders only. Your contract pricing may differ. Interested in signing up for a dedicated account number?
Learn More

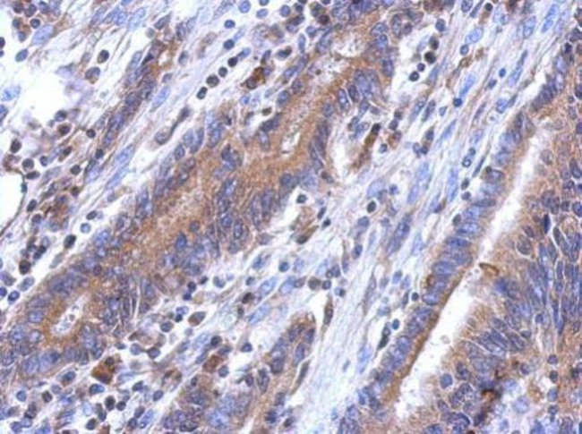
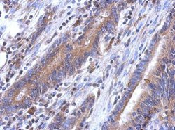
LYPLA3 Polyclonal Antibody, Invitrogen™

Rabbit Polyclonal Antibody

Supplier:  Thermo Scientific PA531701

Catalog No. PIPA531701


Description

Description

Recommended positive controls: 293T, A431, Jurkat. Predicted reactivity: Mouse (92%), Rat (91%), Dog (96%), Rhesus Monkey (100%), Bovine (85%). Store product as a concentrated solution. Centrifuge briefly prior to opening the vial.

Lysophospholipases are enzymes that act on biological membranes to regulate the multifunctional lysophospholipids. The protein encoded by this gene hydrolyzes lysophosphatidylcholine to glycerophosphorylcholine and a free fatty acid. This enzyme is present in the plasma and thought to be associated with high-density lipoprotein. A later paper contradicts the function of this gene. It demonstrates that this gene encodes a lysosomal enzyme instead of a lysophospholipase and has both calcium-independent phospholipase A2 and transacylase activities.
TRUSTED_SUSTAINABILITY
Specifications

Specifications

LYPLA3
Polyclonal
Unconjugated
PLA2G15
1-O-acylceramide synthase; 1-O-acylceramide synthase {ECO:0000303; 1-O-acylceramidesynthase; ACS; ACS {ECO:0000303; C87498; EMBL:AAH98894.1}; EMBL:AAS66767.1}; Ensembl:ENSRNOP00000026996, ECO:0000312; Group XV phospholipase A2; group XV phospholipase A2 {ECO:0000312; GXVPLA2; LCAT-like lysophospholipase; LCAT-like lysophospholipase {ECO:0000250; LLPL; LLPL {ECO:0000250; LPLA2; LPLA2 {ECO:0000303; LYPLA3; Lysophospholipase 3; lysophospholipase 3 (lysosomal phospholipase A2); lysophospholipase 3 {ECO:0000250; lysosomal phospholipase A2; lysosomal phospholipase A2 {ECO:0000303; phospholipase A2 group XV; phospholipase A2, group XV; PLA2G15; pla2g15 {ECO:0000312; PubMed:15294901, ECO:0000312; PubMed:15294901}; RGD:1302982}; UniProtKB:Q8VEB4}; UNQ341/PRO540
Rabbit
Antigen affinity chromatography
RUO
23659
Store at 4°C short term. For long term storage, store at -20°C, avoiding freeze/thaw cycles.
Liquid
Immunocytochemistry, Immunohistochemistry (Paraffin), Western Blot
0.64 mg/mL
0.1M tris glycine with 20% glycerol and 0.01% thimerosal; pH 7
Q8NCC3
PLA2G15
Recombinant fragment corresponding to a region within amino acids 1 and 217 of Human LYPLA3
100 μL
Primary
Human
Antibody
IgG
Product Suggestions

Product Suggestions

Videos
Safety and Handling

Safety and Handling

WARNING: Cancer - www.P65Warnings.ca.gov
SDS
Documents

Documents

Product Certifications
Promotions

Promotions

Product Content Correction

Your input is important to us. Please complete this form to provide feedback related to the content on this product.

Product Title

By clicking Submit, you acknowledge that you may be contacted by Fisher Scientific in regards to the feedback you have provided in this form. We will not share your information for any other purposes. All contact information provided shall also be maintained in accordance with our Privacy Policy.

Your feedback has been submitted: Thank you for helping us improve our website.