Learn More
Lysine (K)-specific Demethylase 3A/KDM3A/JMJD1A Antibody (1E12) - Azide and BSA Free, Novus Biologicals™
Shop All R&D Systems Products

Description
Specifications
Specifications
| Antigen | Lysine (K)-specific Demethylase 3A/KDM3A/JMJD1A |
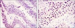
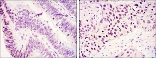
| Applications | Western Blot, ELISA, Immunohistochemistry, Immunofluorescence, Immunohistochemistry (Paraffin) |
| Classification | Monoclonal |
| Clone | 1e+012 |
| Concentration | 1 mg/mL |
| Conjugate | Unconjugated |
| Dilution | Western Blot : 1:500-1:2000, Simple Western : 1:500, ELISA : 1:10000, Immunohistochemistry : 1:200-1:1000, Immunocytochemistry/Immunofluorescence : 1:10-1:500, Immunohistochemistry-Paraffin 1:200-1:1000 |
| Formulation | PBS |
| Gene Alias | EC 1.14.11, EC 1.14.11.-, JHDM2AJMJD1AJHMD2A, JmjC domain-containing histone demethylation protein 2A, JMJD1, jumonji C domain-containing histone demethylase 2A, jumonji domain containing 1, jumonji domain containing 1A, Jumonji domain-containing protein 1A, KIAA0742DKFZp686A24246, lysine (K)-specific demethylase 3A, lysine-specific demethylase 3A, testis-specific protein A, TSGADKFZp686P07111 |
| Gene Symbols | KDM3A |
| Show More |
By clicking Submit, you acknowledge that you may be contacted by Fisher Scientific in regards to the feedback you have provided in this form. We will not share your information for any other purposes. All contact information provided shall also be maintained in accordance with our Privacy Policy.