Promotional price valid on web orders only. Your contract pricing may differ. Interested in signing up for a dedicated account number?
Learn More
Learn More
Lysyl Oxidase Homolog 3/LOXL3 Antibody - BSA Free, Novus Biologicals™

Rabbit Polyclonal Antibody
Supplier: Novus Biologicals NBP275964
Description
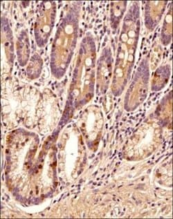
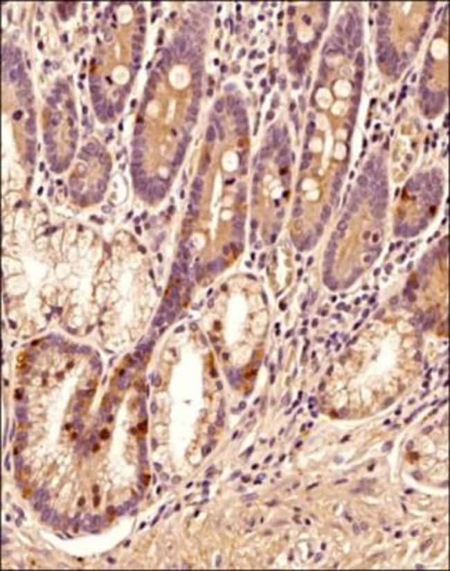
Lysyl Oxidase Homolog 3/LOXL3 Polyclonal specifically detects Lysyl Oxidase Homolog 3/LOXL3 in Human, Mouse, Rat samples. It is validated for Western Blot, Immunohistochemistry, Immunocytochemistry/Immunofluorescence, Immunohistochemistry-Paraffin.Specifications
Lysyl Oxidase Homolog 3/LOXL3 | |
Polyclonal | |
Unconjugated | |
PBS with 0.02% Sodium Azide | |
LOXL3 | |
Partial recombinant human LOXL3 protein (amino acids 26-753) [UniProt P58215] | |
0.1 mg | |
Primary | |
Human, Mouse, Rat | |
IgG |
Western Blot, Immunohistochemistry, Immunocytochemistry, Immunofluorescence, Immunohistochemistry (Paraffin) | |
1.0 mg/mL | |
Western Blot 2 μg/mL, Immunohistochemistry 1:200-1:500, Immunocytochemistry/Immunofluorescence 10 μg/mL, Immunohistochemistry-Paraffin 1:200-1:500 | |
EC 1.4.3, EC 1.4.3.-, EC 1.4.3.13, LOXL, lysyl oxidase homolog 3, lysyl oxidase-like 3, Lysyl oxidase-like protein 3 | |
Rabbit | |
Affinity Purified | |
Lipid and Metabolism | |
84695.0 | |
Store at 4°C short term. Aliquot and store at -20°C long term. Avoid freeze-thaw cycles. |
Product Content Correction
Your input is important to us. Please complete this form to provide feedback related to the content on this product.
Product Title
Spot an opportunity for improvement?Share a Content Correction