Promotional price valid on web orders only. Your contract pricing may differ. Interested in signing up for a dedicated account number?
Learn More
Learn More
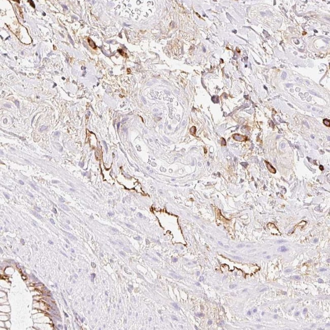
Invitrogen™ LYVE1 Polyclonal Antibody

Rabbit Polyclonal Antibody
Supplier: Invitrogen™ PA5111168
Description
Immunogen sequence: FETCSYGWVG DGFVVISRIS PNPKCGKNGV GVLIWKVPVS RQFAAYCYNS SDTWTNSCIP EIITTKDPIF NTQTATQTTE FIVSDSTYSV ASPYSTIPAP TTTPPAPAST SIPRRKKLIC VTEVFMETST MSTETEPFVE NKAAFKNEAA.
LYVE1 has been identified as a major receptor for HA (extracellular matrix glycosaminoglycan hyaluronan) on the lymph vessel wall. The deduced amino acid sequence of LYVE1 predicts a 322-residue type I integral membrane polypeptide 41% similar to the CD44 HA receptor with a 212-residue extracellular domain containing a single Link module, the prototypic HA binding domain of the Link protein superfamily. Like CD44, the LYVE1 molecule binds both soluble and immobilized HA. However, unlike CD44, the LYVE1 molecule colocalizes with HA on the luminal face of the lymph vessel wall and is completely absent from blood vessels. Hence, LYVE1 is the first lymph-specific HA receptor to be characterized and is a uniquely powerful marker for lymph vessels themselves. LYVE1 is a type I integral membrane glycoprotein. LYVE-1 is expressed primarily on lymphatic vessel endothelium and is likely to be involved in regulating the traffic of leucocytes and tumor cells to lymph nodes. The lymphatic vasculature forms a second circulatory system that drains extracellular fluid from the tissues and provides an exclusive environment in which immune cells can encounter and respond to foreign antigen. A number of molecules have been identified as markers for lymphatic endothelium which include LYVE1, PALE, VEGFR3, and podoplanin. Diseases associated with LYVE1 dysfunction includes Complete Androgen Insensitivity Syndrome.
Specifications
| LYVE1 | |
| Polyclonal | |
| Unconjugated | |
| Lyve1 | |
| 1200012G08Rik; cell surface retention sequence binding protein-1; cell surface retention sequence-binding protein 1; CRSBP1; CRSBP-1; extra cellular link domain-containing 1; extracellular link domain containing 1; extracellular link domain-containing 1; extracellular link domain-containing protein 1; HAR; hyaluronic acid receptor; lymphatic endothelial hyaluronan receptor LYVE-1; lymphatic vessel endothelial HA receptor-1; lymphatic vessel endothelial HA recptor-1; lymphatic vessel endothelial hyaluronan receptor 1; lymphatic vessel endothelial hyaluronic acid receptor 1; LYVE1; LYVE-1; sLyve 1; sLyve1; soluble LYVE 1; soluble LYVE1; UNQ230/PRO263; XLKD1 | |
| Rabbit | |
| Antigen Affinity Chromatography | |
| RUO | |
| 10894 | |
| Store at 4°C short term. For long term storage, store at -20°C, avoiding freeze/thaw cycles. | |
| Liquid |
| Immunohistochemistry (Paraffin), Western Blot | |
| 0.40 mg/mL | |
| PBS with 40% glycerol and 0.02% sodium azide; pH 7.2 | |
| Q9Y5Y7 | |
| Lyve1 | |
| Recombinant Protein corresonding to Human LYVE1. Recombinant protein control fragment (Product #RP-102930). | |
| 100 μL | |
| Primary | |
| Human | |
| Antibody | |
| IgG |
Safety and Handling
WARNING: Cancer - www.P65Warnings.ca.gov
Product Content Correction
Your input is important to us. Please complete this form to provide feedback related to the content on this product.
Product Title
Spot an opportunity for improvement?Share a Content Correction