Promotional price valid on web orders only. Your contract pricing may differ. Interested in signing up for a dedicated account number?
                
Learn More
Learn More
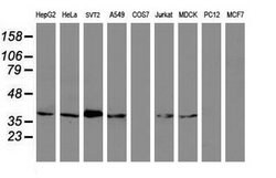
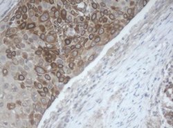
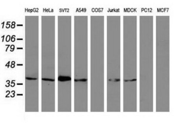
                                    Invitrogen™ MAGEB1 Monoclonal Antibody (OTI4E12)
                                    
                                    
                                    
                                    
                                
                            
                            
                            
                            
Mouse Monoclonal Antibody
Supplier: Invitrogen™ MA526451
Description
MAGEB1 Monoclonal Antibody for Western Blot, IHC (P)
This gene is a member of the MAGEB gene family. The members of this family have their entire coding sequences located in the last exon, and the encoded proteins show 50 to 68% sequence identity to each other. The promoters and first exons of the MAGEB genes show considerable variability, suggesting that the existence of this gene family enables the same function to be expressed under different transcriptional controls. This gene is localized in the DSS (dosage-sensitive sex reversal) critical region, and expressed in testis and in a significant fraction of tumors of various histological types. This gene and other MAGEB members are clustered on chromosome Xp22-p21. Multiple alternatively spliced transcript variants encoding the same protein have been found for this gene, however, the full length nature of some variants has not been defined.
            Specifications
| MAGEB1 | |
| Monoclonal | |
| 1 mg/mL | |
| PBS with 1% BSA, 50% glycerol and 0.02% sodium azide; pH 7.3 | |
| P43366 | |
| LOC491803, MAGEB1 | |
| Full length human recombinant protein of MAGEB1 produced in E.coli. | |
| 100 μL | |
| Primary | |
| Human, Mouse, Canine | |
| Antibody | |
| IgG1 | 
| Immunohistochemistry (Paraffin), Western Blot | |
| OTI4E12 | |
| Unconjugated | |
| MAGEB1 | |
| cancer/testis antigen 3.1; cancer/testis antigen family 3, member 1; CT3.1; dam1; DAM10; DSS/AHC critical interval MAGE superfamily 10; DSS-AHC critical interval MAGE superfamily 10; LOC491803; MAGE family member B1; MAGEB1; Mage-b1; MAGE-B1 antigen; Magel1; Mage-rs1; MAGEXP; MAGE-Xp; MAGE-XP antigen; melanoma antigen family B, 1; melanoma antigen family B1; melanoma antigen, family B, 1; melanoma-associated antigen B1; MGC9322; RGD1565746; Smage1 | |
| Mouse | |
| Affinity Chromatography | |
| RUO | |
| 17145, 4112, 491803 | |
| -20°C, Avoid Freeze/Thaw Cycles | |
| Liquid | 
                    Product Content Correction
                
                Your input is important to us. Please complete this form to provide feedback related to the content on this product.
Product Title
			
            Spot an opportunity for improvement?Share a Content Correction