Promotional price valid on web orders only. Your contract pricing may differ. Interested in signing up for a dedicated account number?
Learn More
Learn More
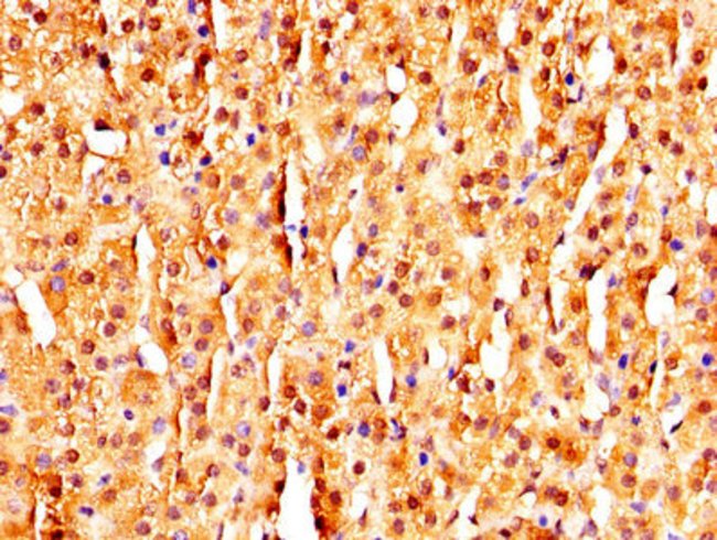
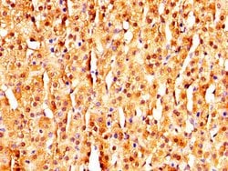
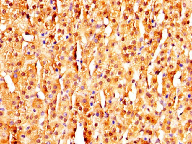
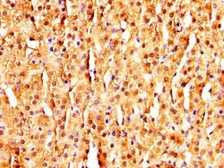
Invitrogen™ MAGED2 Polyclonal Antibody

Rabbit Polyclonal Antibody
Supplier: Invitrogen™ PA5113520
Description
MAGED2 Polyclonal Antibody for Western Blot, ICC/IF, IHC (P), IP, ELISA
This gene is a member of the MAGED gene family. The MAGED genes are clustered on chromosome Xp11. This gene is located in Xp11.2, a hot spot for X-linked intellectual disability (XLID). Mutations in this gene cause a form of transient antenatal Bartter's syndrome. This gene may also be involved in several types of cancer, including breast cancer and melanoma. The protein encoded by this gene is progressively recruited from the cytoplasm to the nucleoplasm during the interphase and after nucleolar stress and is thus thought to play a role in cell cycle regulation. Alternative splicing results in multiple transcript variants.
Specifications
| MAGED2 | |
| Polyclonal | |
| Unconjugated | |
| MAGED2 | |
| 11B6; 4833439A22Rik; BARTS5; BCG1; BCG-1; Breast cancer-associated gene 1 protein; HCA10; hepatocellular carcinoma-associated protein JCL-1; JCL-1; MAGE family member D2; MAGED; MAGED2; MAGE-D2; MAGE-D2 antigen; melanoma antigen family D, 2; melanoma antigen family D2; melanoma antigen, family D, 2; melanoma-associated antigen D2; MGC8386; ORF1 | |
| Rabbit | |
| Protein G | |
| RUO | |
| 10916 | |
| -20°C or -80°C if preferred | |
| Liquid |
| ELISA, Immunohistochemistry (Paraffin), Immunoprecipitation, Western Blot, Immunocytochemistry | |
| 1 mg/mL | |
| PBS with 50% glycerol and 0.03% ProClin 300; pH 7.4 | |
| Q9UNF1 | |
| MAGED2 | |
| Recombinant Human Melanoma-associated antigen D2 protein (38-285AA). | |
| 100 μg | |
| Primary | |
| Human | |
| Antibody | |
| IgG |
Product Content Correction
Your input is important to us. Please complete this form to provide feedback related to the content on this product.
Product Title
Spot an opportunity for improvement?Share a Content Correction