Promotional price valid on web orders only. Your contract pricing may differ. Interested in signing up for a dedicated account number?
Learn More
Learn More
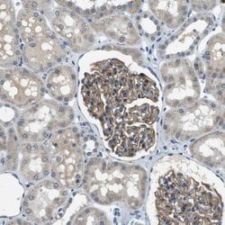
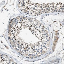
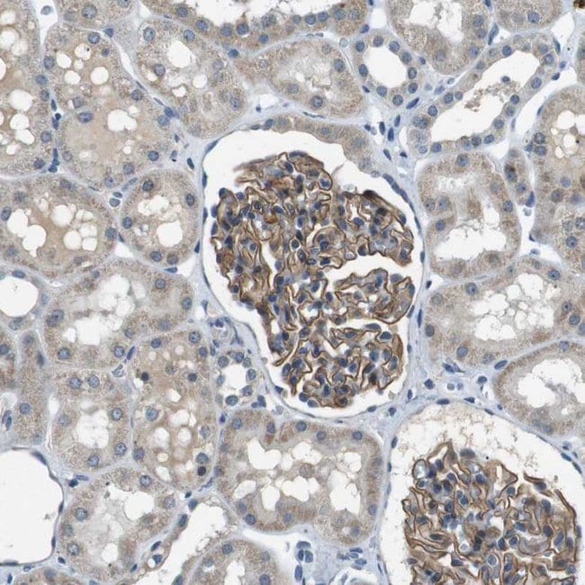
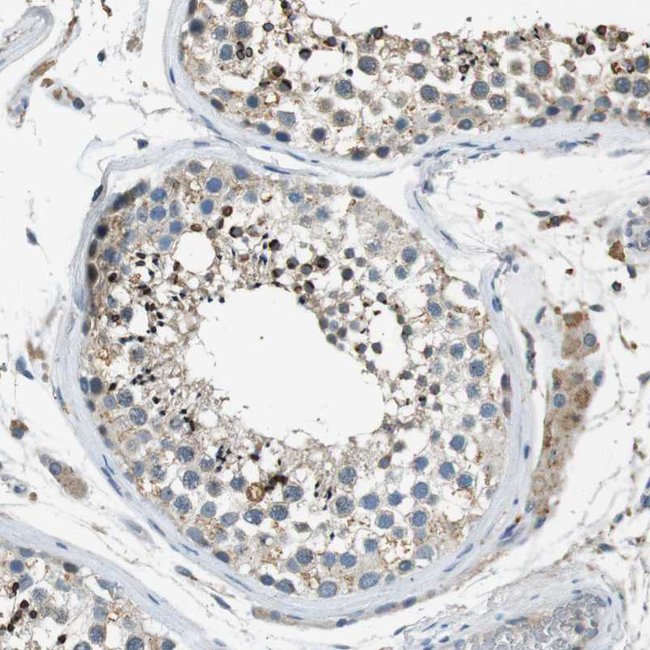
Invitrogen™ MAGI2 Polyclonal Antibody

Rabbit Polyclonal Antibody
Supplier: Invitrogen™ PA553073
Description
Immunogen sequence: AEGKRKRNKS VSNMEKASIE PPEEEEEERP VVNGNGVVVT PESSEHEDKS AGASGEMPSQ PYPAPVYSQP EELKEQMDDT KPTKPEDNEE PDPLPDNWEM A Highest antigen sequence identity to the following orthologs: Mouse - 93%, Rat - 92%.
Seems to act as scaffold molecule at synaptic junctions by assembling neurotransmitter receptors and cell adhesion proteins. May play a role in regulating activin-mediated signaling in neuronal cells. Enhances the ability of PTEN to suppress AKT1 activation. Plays a role in nerve growth factor (NGF)-induced recruitment of RAPGEF2 to late endosomes and neurite outgrowth. Florindo C.S., Submitted (JUL-2003) to the EMBL/GenBank/DDBJ databases. The MGC Project Team, Genome Res. 14:2121-2127(2004). Devroe E., J. Biol. Chem. 279:24444-24451(2004).
Specifications
MAGI2 | |
Polyclonal | |
Unconjugated | |
MAGI2 | |
activin receptor interacting protein 1; activin receptor-interacting protein 1; Acvri1; ACVRINP1; Acvrip1; AIP1; AIP-1; ARIP1; Atrophin-1-interacting protein 1; atrophin-1-interacting protein A; KIAA0705; MAGI2; MAGI-2; membrane associated guanylate kinase, WW and PDZ domain containing 2; membrane-associated guanylate kinase inverted 2; Membrane-associated guanylate kinase, WW and PDZ domain-containing protein 2; mKIAA0705; Sscam; S-SCAM; Synaptic-scaffolding molecule | |
Rabbit | |
Antigen affinity chromatography | |
RUO | |
9863 | |
Store at 4°C short term. For long term storage, store at -20°C, avoiding freeze/thaw cycles. | |
Liquid |
Immunohistochemistry (Paraffin) | |
0.1 mg/mL | |
PBS with 40% glycerol and 0.02% sodium azide; pH 7.2 | |
Q86UL8 | |
MAGI2 | |
Recombinant protein corresponding to Human MAGI2. Recombinant protein control fragment (Product #RP-90781). | |
100 μL | |
Primary | |
Human | |
Antibody | |
IgG |
Product Content Correction
Your input is important to us. Please complete this form to provide feedback related to the content on this product.
Product Title
Spot an opportunity for improvement?Share a Content Correction