Promotional price valid on web orders only. Your contract pricing may differ. Interested in signing up for a dedicated account number?
Learn More
Learn More
MALT1 Mouse anti-Human, Clone: 4D3F6, Proteintech

Mouse Monoclonal Antibody
Supplier: Proteintech Group Inc 662251IG150UL

Description
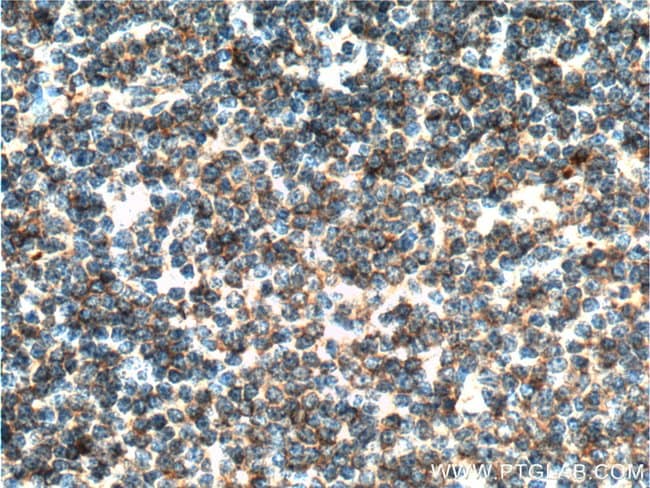
MALT1/Paracaspase (MALT1) was independently identified as a member of the human paracaspase family and an interacting partner of B-cell lymphoma. MALT1 is a caspase-like protein that contains an N-terminal death domain, two Ig-like domains, and a C-terminal caspase-like domain. It binds to Bcl10 through its Ig-like domains and cooperates with Bcl10 to activate NF-kappaB.Specifications
MALT1 | |
Monoclonal | |
0.96 mg/mL | |
PBS with 50% glycerol and 0.02% sodium azide; pH 7.3 | |
Q9UDY8 | |
MALT1 | |
MALT1 Fusion Protein Ag20632 | |
150 μL | |
Primary | |
Human | |
Antibody | |
IgG1 |
Immunocytochemistry, Immunofluorescence, Immunohistochemistry (Paraffin), Western Blot | |
4D3F6 | |
Unconjugated | |
MALT1 | |
MALT1, MLT, MLT1, Paracaspase | |
Mouse | |
Protein G | |
RUO | |
10892 | |
-20°C | |
Liquid |
Product Content Correction
The Fisher Scientific Encompass Program offers items which are not part of our distribution portfolio. These products typically do not have pictures or detailed descriptions. However, we are committed to improving your shopping experience. Please use the form below to provide feedback related to the content on this product.
Product Title
Spot an opportunity for improvement?Share a Content Correction