Promotional price valid on web orders only. Your contract pricing may differ. Interested in signing up for a dedicated account number?
Learn More
Learn More
Mammaglobin A Rabbit anti-Human, Clone: MGB/4811R, Novus Biologicals™

Rabbit Monoclonal Antibody
Supplier: Novus Biologicals NBP30730020UG
Description
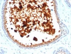
Mammaglobin A Monoclonal specifically detects Mammaglobin A in Human samples. It is validated for Immunohistochemistry-Paraffin.Specifications
Mammaglobin A | |
Monoclonal | |
0.2 mg/ml | |
Immunohistochemistry-Paraffin 1-2 ug/ml | |
mammaglobin 1, mammaglobin A, Mammaglobin-1, MGB1mammaglobin-A, MGC71974, Secretoglobin family 2A member 2, secretoglobin, family 2A, member 2, UGB2mammaglobin-1 | |
Recombinant full-length human Mammaglobin A protein | |
20 μg | |
Primary | |
Human | |
Purified |
Immunohistochemistry (Paraffin) | |
MGB/4811R | |
Unconjugated | |
10 mM PBS with 0.05% BSA | |
Rabbit | |
Protein A or G purified | |
RUO | |
4250 | |
Store at 4°C. | |
IgG |
Product Content Correction
Your input is important to us. Please complete this form to provide feedback related to the content on this product.
Product Title
Spot an opportunity for improvement?Share a Content Correction