Promotional price valid on web orders only. Your contract pricing may differ. Interested in signing up for a dedicated account number?
Learn More
Learn More
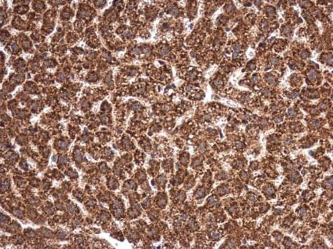
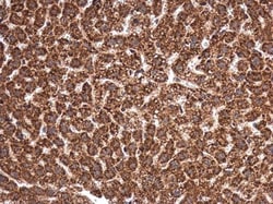
Invitrogen™ MANEA Polyclonal Antibody

Rabbit Polyclonal Antibody
Supplier: Invitrogen™ PA532000
Description
Recommended positive controls: A431, HeLa, HepG2. Predicted reactivity: Mouse (81%). Store product as a concentrated solution. Centrifuge briefly prior to opening the vial.
N-glycosylation of proteins is initiated in the endoplasmic reticulum (ER) by the transfer of the preassembled oligosaccharide glucose-3-mannose-9-N-acetylglucosamine-2 from dolichyl pyrophosphate to acceptor sites on the target protein by an oligosaccharyltransferase complex. This core oligosaccharide is sequentially processed by several ER glycosidases and by an endomannosidase (E.C. 3.2.1.130), such as MANEA, in the Golgi. MANEA catalyzes the release of mono-, di-, and triglucosylmannose oligosaccharides by cleaving the alpha-1,2-mannosidic bond that links them to high-mannose glycans (Hamilton et al., 2005).
Specifications
| MANEA | |
| Polyclonal | |
| Unconjugated | |
| MANEA | |
| 4932703L02Rik; alpha 1,2-endomannosidase; ENDO; Endo-alpha mannosidase; endomannosidase; glycoprotein endo-alpha-1,2-mannosidase; hEndo; Mandaselin; Manea; mannosidase endo-alpha; mannosidase, endo-alpha; mEndo | |
| Rabbit | |
| Antigen affinity chromatography | |
| RUO | |
| 242362, 79694 | |
| Store at 4°C short term. For long term storage, store at -20°C, avoiding freeze/thaw cycles. | |
| Liquid |
| Immunohistochemistry (Paraffin), Western Blot | |
| 1 mg/mL | |
| 0.1M tris glycine with 20% glycerol and 0.01% thimerosal; pH 7 | |
| Q5SRI9, Q6NXH2 | |
| MANEA | |
| Recombinant protein encompassing a sequence within the center region of human MANEA. The exact sequence is proprietary. | |
| 100 μL | |
| Primary | |
| Human, Mouse | |
| Antibody | |
| IgG |
Safety and Handling
WARNING: Cancer - www.P65Warnings.ca.gov
Product Content Correction
Your input is important to us. Please complete this form to provide feedback related to the content on this product.
Product Title
Spot an opportunity for improvement?Share a Content Correction