Promotional price valid on web orders only. Your contract pricing may differ. Interested in signing up for a dedicated account number?
Learn More
Learn More
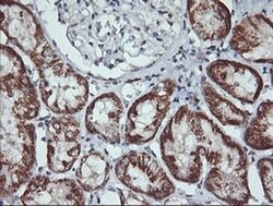
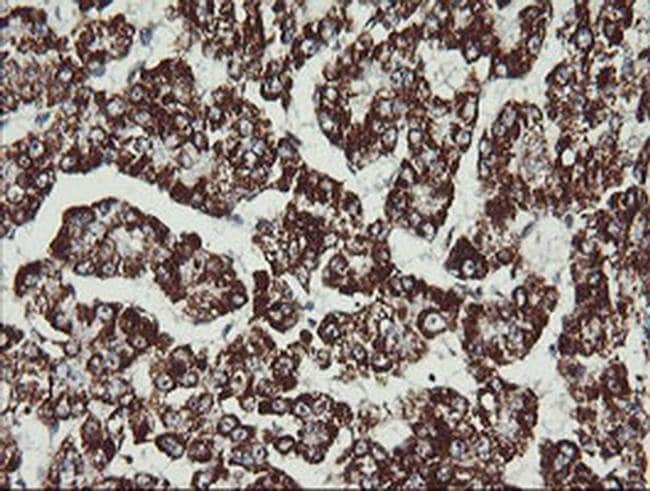
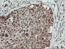
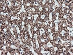
MAP2K2 Mouse anti-Canine, Human, Mouse, Rat, Clone: OTI1A2, liquid, TrueMAB™

Mouse Monoclonal Antibody
Supplier: OriGene TA505680S

Description
MEK1 (Mitogen activated protein kinase kinase 1) catalyzes the concomitant phosphorylation of a threonine and a tyrosine residue in a Thr-Glu-Tyr sequence located in MAP kinases. MEK1 activates ERK1 and ERK2 MAP kinases. Mitogen activated protein kinase kinase 2 (MEK2 or MAPKK2) is a member of a family of tyrosine/threonine protein kinases that activate the ERK1 and 2 and MAPK enzymes by phosphorylating both residues within the threonine/glutamate/tyrosine (TEY) motif in the activation loop. MEK1 and 2 are also activated by dual phosphorylation, which occurs on serine 218 and 222, in the activation loop of the MEK. Threonine 292 of MEK1 is phosphorylated by ERK 2, which serves as a negative feedback loop by suppressing activation of MEK1.Specifications
MAP2K2 | |
Monoclonal | |
Unconjugated | |
MAP2K2 | |
CFC4, MAPKK2, MEK2, MKK2, PRKMK2 | |
Mouse | |
Affinity Chromatography | |
RUO | |
26396, 5605, 58960, 611939 | |
-20° C, Avoid Freeze/Thaw Cycles | |
Liquid |
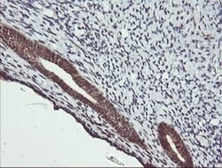
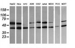
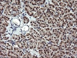
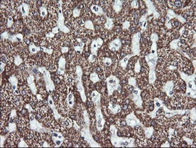
Immunocytochemistry, Immunofluorescence, Immunohistochemistry (Paraffin), Western Blot | |
OTI1A2 | |
PBS with 1% BSA, 50% glycerol and 0.02% sodium azide | |
P36506, P36507, Q63932 | |
MAP2K2 | |
Full length human recombit protein of human MAP2K2 produced in HEK293T cell. | |
30 μL | |
Primary | |
Canine, Human, Mouse, Rat | |
Antibody | |
IgG2a |
Product Content Correction
The Fisher Scientific Encompass Program offers items which are not part of our distribution portfolio. These products typically do not have pictures or detailed descriptions. However, we are committed to improving your shopping experience. Please use the form below to provide feedback related to the content on this product.
Product Title
Spot an opportunity for improvement?Share a Content Correction