Promotional price valid on web orders only. Your contract pricing may differ. Interested in signing up for a dedicated account number?
Learn More
Learn More
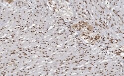
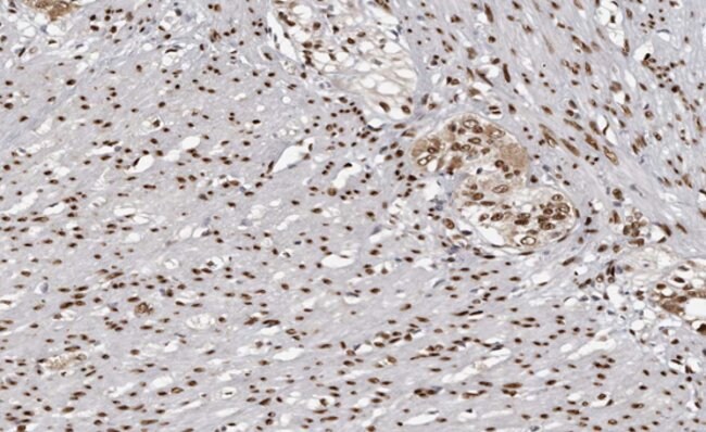
Invitrogen™ MAPKAPK3 Polyclonal Antibody

Rabbit Polyclonal Antibody
Supplier: Invitrogen™ PA5115542
Description
Antibody detects endogenous levels of total MAPK3.
MAPKAPK3 functions as an integrative element of signaling in both mitogen and stress responses. MAPKAPK3 functions as a mitogen-activated protein kinase (MAP kinase)- activated protein kinase. MAP kinases are also known as extracellular signal-regulated kinases (ERKs), act as an integration point for multiple biochemical signals. MAPKAPK3 was shown to be activated by growth inducers and stress stimulation of cells. In vitro studies demonstrated that ERK, p38 MAP kinase and Jun N-terminal kinase were all able to phosphorylate and activate this kinase, which suggested the role of this kinase as an integrative element of signaling in both mitogen and stress responses. MAPKAPK3 was reported to interact with, phosphorylate and repress the activity of E47, which is a basic helix-loop-helix transcription factor known to be involved in the regulation of tissue-specific gene expression and cell differentiation.
Specifications
| MAPKAPK3 | |
| Polyclonal | |
| Unconjugated | |
| MAPKAPK3 | |
| 3PK; AI874665; chromosome 3p kinase; MAP kinase-activated protein kinase 3; MAPK-activated protein kinase 3; MAPKAP kinase 3; MAPKAP3; MAPKAPK3; MAPKAP-K3; MAPKAPK-3; MapkKapk3; mitogen activated protein kinase-activated protein kinase 3; mitogen-activated protein kinase-activated protein kinase 3; MK3; MK-3; OTTHUMP00000210806; OTTHUMP00000210807 | |
| Rabbit | |
| Affinity chromatography | |
| RUO | |
| 102626, 315994, 7867 | |
| -20°C | |
| Liquid |
| Immunohistochemistry (Paraffin), Western Blot, Immunocytochemistry | |
| 1 mg/mL | |
| PBS with 50% glycerol and 0.02% sodium azide | |
| Q16644, Q3UMW7, Q66H84 | |
| MAPKAPK3 | |
| A synthesized peptide derived from human MAPKAPK3(Accession Q16644), corresponding to amino acid residues M299-V349. | |
| 100 μL | |
| Primary | |
| Human, Mouse, Rat | |
| Antibody | |
| IgG |
Product Content Correction
Your input is important to us. Please complete this form to provide feedback related to the content on this product.
Product Title
Spot an opportunity for improvement?Share a Content Correction