Promotional price valid on web orders only. Your contract pricing may differ. Interested in signing up for a dedicated account number?
Learn More
Learn More
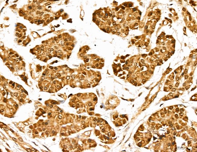
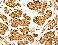
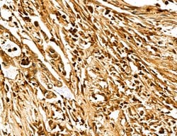
Invitrogen™ MARS Polyclonal Antibody

Rabbit Polyclonal Antibody
Supplier: Invitrogen™ PA5115547
Description
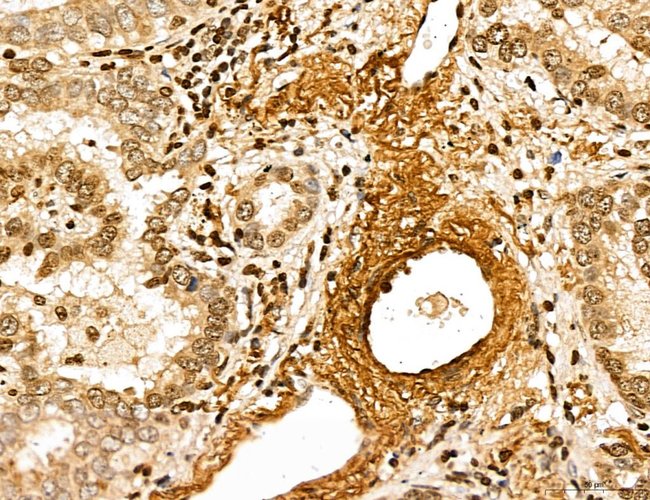
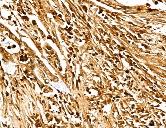
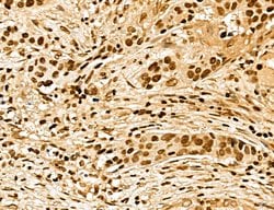
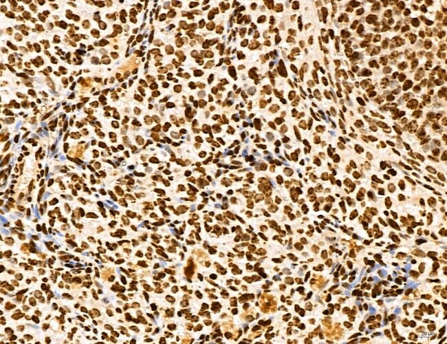
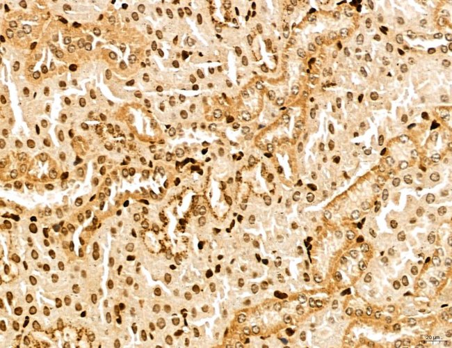
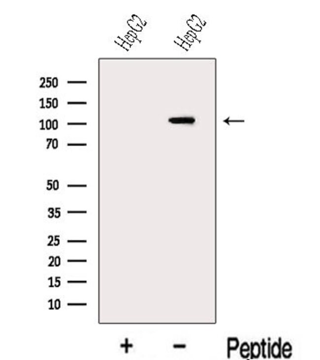
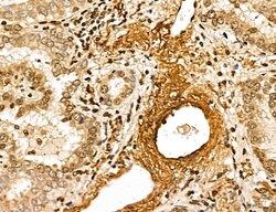
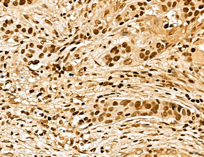
Antibody detects endogenous levels of total MARS.
Methionyl-tRNA synthetase belongs to the class I family of tRNA synthetases. It catalyzes the chemical reaction:ATP + L-methionine + tRNA(Met) = AMP + diphosphate + L-methionyl-tRNA(Met).
Specifications
| MARS | |
| Polyclonal | |
| Unconjugated | |
| MARS1 | |
| CMT2U; cytosolic methionyl-tRNA synthetase; id:ibd5106; ILFS2; ILLD; MARS; mars protein; mars1; methionine tRNA ligase; methionine--tRNA ligase, cytoplasmic; methionine-tRNA synthetase; methionyl trna synthetase; methionyl-tRNA synthetase; methionyl-tRNA synthetase 1; methionyl-tRNA synthetase, cytoplasmic; metRS; MRS; Mtrns; SPG70; Unknown (protein for MGC:134096); zgc:66122 | |
| Rabbit | |
| Affinity chromatography | |
| RUO | |
| 216443, 299851, 4141 | |
| -20°C | |
| Liquid |
| Immunohistochemistry (Paraffin), Western Blot, Immunocytochemistry | |
| 1 mg/mL | |
| PBS with 50% glycerol and 0.02% sodium azide | |
| P56192, Q68FL6 | |
| MARS1 | |
| A synthesized peptide derived from human MARS(Accession P56192), corresponding to amino acid residues G570-Y620. | |
| 100 μL | |
| Primary | |
| Human, Mouse, Rat | |
| Antibody | |
| IgG |
Product Content Correction
Your input is important to us. Please complete this form to provide feedback related to the content on this product.
Product Title
Spot an opportunity for improvement?Share a Content Correction