Promotional price valid on web orders only. Your contract pricing may differ. Interested in signing up for a dedicated account number?
Learn More
Learn More
Invitrogen™ MAVS Polyclonal Antibody

Rabbit Polyclonal Antibody
Supplier: Invitrogen™ PA520348
Description
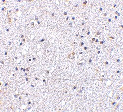
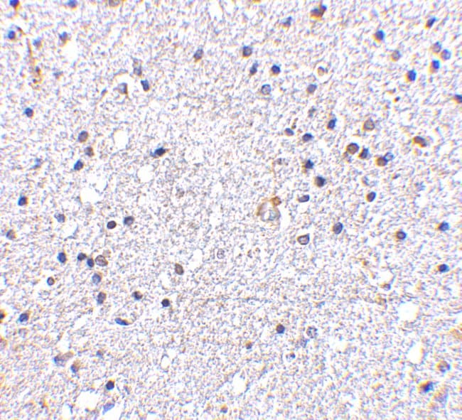
A suggested positive control is A-20 cell lysate. PA5-20348 can be used with blocking peptide PEP-0468.
Two distinct signaling pathways activate the host innate immunity against viral infection. One pathway is reliant on members of the Toll-like receptor (TLR) family while the other uses the RNA helicase RIG-I as a receptor for intracellular viral double-stranded RNA as a trigger for the immune response. MAVS is a mitochondrial membrane protein that was identified as a critical component in the IFN beta signaling pathways that recruits IRF-3 to RIG-I, leading to its activation and that of NF-kappa-B. MAVS is also thought to interact with other components of the innate immune pathway such as the TLR adapter protein TRIF, TRAF2 and TRAF6. MAVS also interacts with the IKK-alpha, IKK-beta and IKK-iota kinases through its C-terminal region. Cleavage of this region by the Hepatitis C virus (HCV) protease allows HCV to escape the host immune system. Multiple isoforms of MAVS are known to exist.
Specifications
MAVS | |
Polyclonal | |
Unconjugated | |
MAVS | |
CARD adapter inducing interferon beta; CARD adaptor inducing IFN-beta; Cardif; D430028G21Rik; IFN-B promoter stimulator 1; IFN-beta promoter stimulator-1; interferon beta promoter stimulator protein 1; interferon-beta promoter stimulator protein 1; IPS1; IPS-1; KIAA1271; MAVS; mitochondrial antiviral signaling protein; mitochondrial anti-viral signaling protein; mitochondrial antiviral-signaling protein; Putative NF-kappa-B-activating protein 031N; virus-induced signaling adapter; virus-induced signaling adaptor; virus-induced-signaling adapter; VISA | |
Rabbit | |
Antigen affinity chromatography | |
RUO | |
228607, 311430, 57506 | |
Maintain refrigerated at 2-8°C for up to 3 months. For long term storage store at -20°C | |
Liquid |
Immunohistochemistry, Western Blot, Immunocytochemistry | |
1 mg/mL | |
PBS with 0.02% sodium azide | |
Q66HG9, Q7Z434, Q8VCF0 | |
MAVS | |
A 13 amino acid peptide from near the amino terminus of human VISA. | |
100 μg | |
Primary | |
Human, Mouse, Rat | |
Antibody | |
IgG |
Safety and Handling
WARNING: Cancer - www.P65Warnings.ca.gov
Product Content Correction
Your input is important to us. Please complete this form to provide feedback related to the content on this product.
Product Title
Spot an opportunity for improvement?Share a Content Correction