Promotional price valid on web orders only. Your contract pricing may differ. Interested in signing up for a dedicated account number?
Learn More
Learn More
Invitrogen™ MCL-1 Polyclonal Antibody

Rabbit Polyclonal Antibody
Supplier: Invitrogen™ PA5140992
This item is not returnable.
View return policy
Description
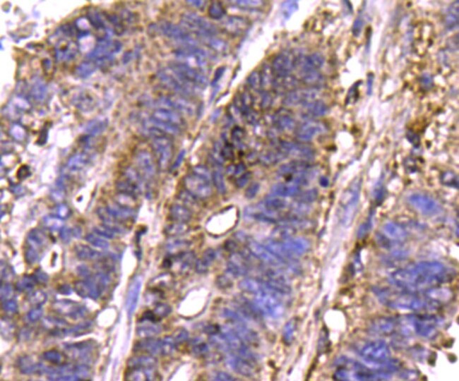
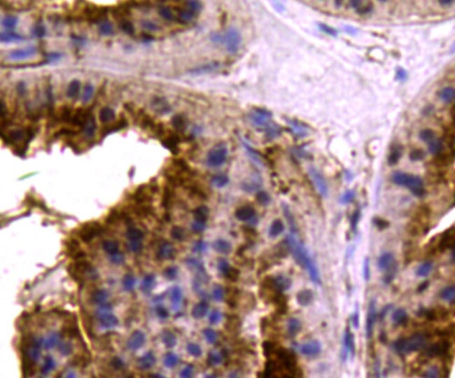
MCL-1 Polyclonal Antibody for ICC/IF, IHC (P)
MCL1 (Myeloid cell leukemia-1) belongs to the Bcl-2 family and is involved in programing, differentiation and concomitant maintenance of cell viability, but not of proliferation. Isoform 1 of MCL1 inhibits apoptosis while isoform 2 promotes it. The carboxy terminal of MCL1 and bcl-2 share significant sequence homology. Expression of MCL1 is increased upon exposure of ML-1 cells to various types of DNA damaging agents (e.g. ionizing radiation, ultraviolet radiation, and alkylating drugs) along with increases in GADD45 and Bax and a decrease in bcl-2. Enhanced expression of MCL1, prominently associated with mitochondria, complements the continued expression of bcl-2 in ML-1 cells undergoing differentiation. Like bcl-2, MCL1 has the capacity to promote cell viability under conditions that otherwise cause apoptosis. While the mechanism by which MCL1 inhibits apoptosis is not known, it is thought that it may heterodimerize and neutralize pro-apoptotic members of the Bcl-2 family such as Bim or Bak. MCL1 was originally identified in differentiating myeloid cells, but has since been shown to be expressed in multiple cell types. MCL1 is essential for embryogenesis and for the development and maintenance of B and T lymphocytes in animals. MCL1 exists as at least two distinct isoforms designated MCL1L and MCL1S. In marked contrast to the larger isoform of MCL1, overexpression of MCL1S promotes cell death.
Specifications
| MCL-1 | |
| Polyclonal | |
| Unconjugated | |
| MCL1 | |
| AW556805; BCL2 family apoptosis regulator; BCL2L3; bcl2-L-3; Bcl-2-like protein 3; bcl-2-related protein EAT/mcl1; EAT; Induced myeloid leukemia cell differentiation protein Mcl-1; induced myeloid leukemia cell differentiation protein Mcl-1 homolog; Mcl1; Mcl-1; mcl1/EAT; MCL1-ES; MCL1L; MCL1S; MCL-1S; MGC104264; MGC1839; myeloid cell leukemia 1; myeloid cell leukemia ES; myeloid cell leukemia sequence 1; myeloid cell leukemia sequence 1 (BCL2-related); TM | |
| Rabbit | |
| Antigen affinity chromatography | |
| RUO | |
| 17210, 4170 | |
| Store at 4°C short term. For long term storage, store at -20°C, avoiding freeze/thaw cycles. | |
| Liquid |
| Immunohistochemistry (Paraffin), Immunocytochemistry | |
| 1 mg/mL | |
| PBS with 0.2% BSA, 40% glycerol and 0.05% sodium azide; pH 7.4 | |
| P97287, Q07820 | |
| MCL1 | |
| Synthetic peptide within human MCL1 aa 58-130. | |
| 100 μL | |
| Primary | |
| Human, Mouse | |
| Antibody | |
| IgG |
Product Content Correction
Your input is important to us. Please complete this form to provide feedback related to the content on this product.
Product Title
Spot an opportunity for improvement?Share a Content Correction