Promotional price valid on web orders only. Your contract pricing may differ. Interested in signing up for a dedicated account number?
Learn More

MCM4 Goat anti-Human, Mouse, Polyclonal, Bethyl Laboratories

Goat Polyclonal Antibody

Supplier:  Bethyl Laboratories, Inc A300125A

Encompass_Preferred

Catalog No. 50-155-6945


May include imposed supplier surcharges.
Only null left
Add to Cart

Description

Description

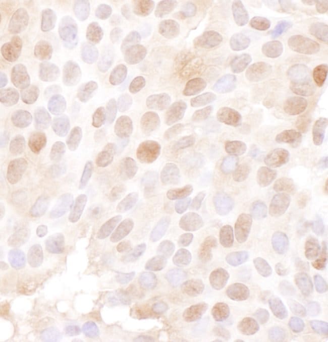
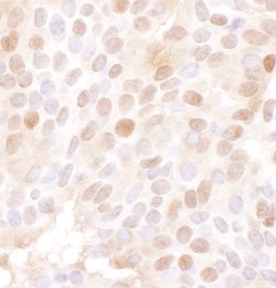
The recommended shelf life for this product is 1 year from date of receipt. Application Note: For IHC, epitope retrieval with citrate buffer pH 6.0 is recommended for FFPE tissue sections.

The protein encoded by this gene is one of the highly conserved mini-chromosome maintece proteins (MCM) that are essential for the initiation of eukaryotic genome replication. The hexameric protein complex formed by MCM proteins is a key component of the pre-replication complex (pre_RC) and may be involved in the formation of replication forks and in the recruitment of other DNA replication related proteins. The MCM complex consisting of this protein and MCM2, 6 and 7 proteins possesses DNA helicase activity, and may act as a DNA unwinding enzyme. The phosphorylation of this protein by CDC2 kinase reduces the DNA helicase activity and chromatin binding of the MCM complex. This gene is mapped to a region on the chromosome 8 head-to-head next to the PRKDC/DNA-PK, a DNA-activated protein kinase involved in the repair of DNA double-strand breaks. Alternatively spliced transcript variants encoding the same protein have been reported.
Specifications

Specifications

MCM4
Polyclonal
Unconjugated
MCM4
CDC21, CDC54, P1-CDC21, hCdc21, CDC21 homolog, DNA replication licensing factor MCM4, MCM4 minichromosome maintece deficient 4, homolog of S. pombe cell devision cycle 21, minichromosome maintece deficient 4
Goat
Antigen affinity chromatography
RUO
17217, 4173
4° C
Liquid
Immunohistochemistry, Western Blot
1 mg/ml
phosphate, tris citrate with 0.09% sodium azide; pH 7-8
P33991, P49717
MCM4
Between 325 and 375
100 μL
Primary
Human, Mouse
Antibody
IgG
Product Suggestions

Product Suggestions

Videos
SDS
Documents

Documents

Product Certifications
Promotions

Promotions

Product Content Correction

The Fisher Scientific Encompass Program offers items which are not part of our distribution portfolio. These products typically do not have pictures or detailed descriptions. However, we are committed to improving your shopping experience. Please use the form below to provide feedback related to the content on this product.

Product Title

By clicking Submit, you acknowledge that you may be contacted by Fisher Scientific in regards to the feedback you have provided in this form. We will not share your information for any other purposes. All contact information provided shall also be maintained in accordance with our Privacy Policy.

Your feedback has been submitted: Thank you for helping us improve our website.