Promotional price valid on web orders only. Your contract pricing may differ. Interested in signing up for a dedicated account number?
Learn More
Learn More
Invitrogen™ MCM5 Polyclonal Antibody

Rabbit Polyclonal Antibody
Supplier: Invitrogen™ PA529913
Description
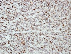
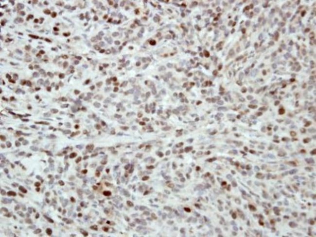
Recommended positive controls: HeLa. Predicted reactivity: Mouse (95%), Xenopus laevis (88%), Chicken (87%), Bovine (95%). Store product as a concentrated solution. Centrifuge briefly prior to opening the vial.
The protein encoded by this gene is structurally very similar to the CDC46 protein from S. cerevisiae, a protein involved in the initiation of DNA replication. The encoded protein is a member of the MCM family of chromatin-binding proteins and can interact with at least two other members of this family. The encoded protein is upregulated in the transition from the G0 to G1/S phase of the cell cycle and may actively participate in cell cycle regulation.
Specifications
| MCM5 | |
| Polyclonal | |
| Unconjugated | |
| MCM5 | |
| AA617332; AI324988; AL033333; Cdc46; CDC46 homolog; DNA replication licensing factor MCM5; MCM5; MCM5 minichromosome maintenance deficient 5, cell division cycle 46; Mcmd5; MGC5315; minichromosome maintenance complex component 5; minichromosome maintenance deficient 5 (cell division cycle 46); minichromosome maintenance deficient 5, cell division cycle 46; minichromosome maintenance deficient 5, cell division cycle 46 (S. cerevisiae); P1-CDC46 | |
| Rabbit | |
| Antigen affinity chromatography | |
| RUO | |
| 4174 | |
| Store at 4°C short term. For long term storage, store at -20°C, avoiding freeze/thaw cycles. | |
| Liquid |
| ChIP Assay, Immunohistochemistry (Paraffin), Western Blot, Immunocytochemistry | |
| 0.41 mg/mL | |
| 0.1M tris glycine with 20% glycerol and 0.01% thimerosal; pH 7 | |
| P33992 | |
| MCM5 | |
| Recombinant protein encompassing a sequence within the center region of human MCM5. The exact sequence is proprietary. | |
| 100 μL | |
| Primary | |
| Human | |
| Antibody | |
| IgG |
Safety and Handling
WARNING: Cancer - www.P65Warnings.ca.gov
Product Content Correction
Your input is important to us. Please complete this form to provide feedback related to the content on this product.
Product Title
Spot an opportunity for improvement?Share a Content Correction