Promotional price valid on web orders only. Your contract pricing may differ. Interested in signing up for a dedicated account number?
Learn More
Learn More
Invitrogen™ MD-1 Polyclonal Antibody

Rabbit Polyclonal Antibody
Supplier: Invitrogen™ PA520261
Description
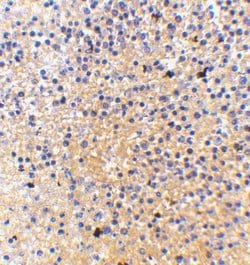
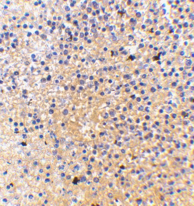
A suggested positive control is Daudi cell lysate. PA5-20261 can be used with blocking peptide PEP-0376.
MD-1, also known as LY86, is a glycoprotein involved in innate immunity. It is a component of the RP105/MD-1 complex, which is expressed primarily in immune cells like B-cells. MD-1 is structurally similar to MD-2, sharing only 16% sequence identity, yet both are implicated in lipopolysaccharide recognition. The protein contains the ML (MD-2-related lipid-recognition) domain, which is conserved across various species and mediates diverse biological functions by interacting with specific lipids. Structurally, MD-1 is characterized by a beta-rich fold consisting of multiple strands, which is integral to its biological activities. Though MD-1 mainly associates with RP105, its role in lipid recognition suggests functional similarities with proteins such as GM2A and NPC2, implying participation in broader immune signaling pathways.
Specifications
MD-1 | |
Polyclonal | |
Unconjugated | |
LY86 | |
dJ80N2.1; Ly86; Ly-86; Lymphocyte antigen 86; MD1; MD-1; MD-1, RP105-associated; MMD-1; Protein MD-1; RP1-80N2.1 | |
Rabbit | |
Antigen affinity chromatography | |
RUO | |
17084, 291359, 9450 | |
Maintain refrigerated at 2-8°C for up to 3 months. For long term storage store at -20°C | |
Liquid |
Immunohistochemistry, Western Blot | |
1 mg/mL | |
PBS with 0.02% sodium azide | |
O88188, O95711 | |
LY86 | |
A 15 amino acid peptide from near the center of human MD-1. | |
100 μg | |
Primary | |
Human, Mouse, Rat | |
Antibody | |
IgG |
Product Content Correction
Your input is important to us. Please complete this form to provide feedback related to the content on this product.
Product Title
Spot an opportunity for improvement?Share a Content Correction