Promotional price valid on web orders only. Your contract pricing may differ. Interested in signing up for a dedicated account number?
Learn More
Learn More
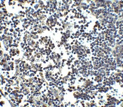
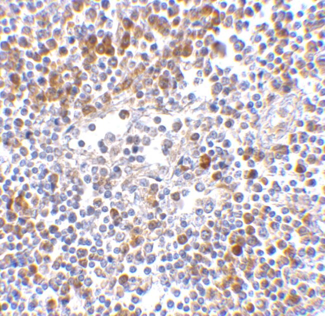
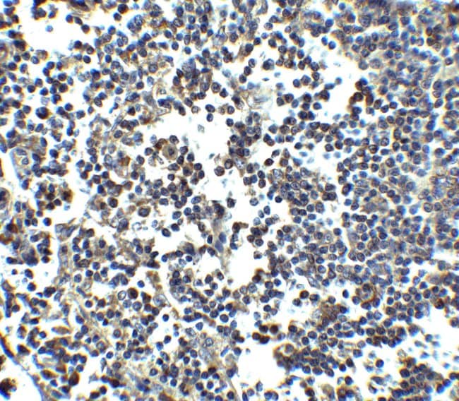
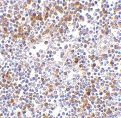
Invitrogen™ MDA5 Polyclonal Antibody

Rabbit Polyclonal Antibody
Supplier: Invitrogen™ PA520337
Description
A suggested positive control is Daudi cell lysate. PA5-20337 can be used with blocking peptide PEP-0457.
DEAD box proteins, characterized by the conserved motif Asp-Glu-Ala-Asp and a protein kinase C-activating compound, mezerein. Irreversible reprogramming of melanomas can be achieved by treatment with both these agents; treatment with either agent alone only achieves reversible differentiation.
Specifications
MDA5 | |
Polyclonal | |
Unconjugated | |
IFIH1 | |
9130009C22Rik; AGS7; CADM-140 autoantigen; Clinically amyopathic dermatomyositis autoantigen 140 kDa; DEAD/H (Asp-Glu-Ala-Asp/His) box polypeptide; helicard; Helicase with 2 CARD domains; Hlcd; IDDM19; IFIH1; interferon induced with helicase C domain 1; interferon induced with helicase C domain protein 1; interferon induced, with helicase C domain 1; interferon-induced helicase C domain-containing protein 1; Interferon-induced with helicase C domain protein 1; MDA5; MDA-5; melanoma differentiation associated protein-5; melanoma differentiation-associated gene 5; melanoma differentiation-associated protein 5; MGC133047; Murabutide down-regulated protein; RGD1560496; RH116; RIG-I-like receptor 2; RLR-2; RNA helicase-DEAD box protein 116; SGMRT1 | |
Rabbit | |
Antigen affinity chromatography | |
RUO | |
64135 | |
Maintain refrigerated at 2-8°C for up to 3 months. For long term storage store at -20°C | |
Liquid |
Immunohistochemistry, Western Blot, Immunocytochemistry | |
1 mg/mL | |
PBS with 0.02% sodium azide | |
Q9BYX4 | |
IFIH1 | |
A 16 amino acid peptide from near the carboxy terminus of human MDA5. | |
100 μg | |
Primary | |
Human | |
Antibody | |
IgG |
Product Content Correction
Your input is important to us. Please complete this form to provide feedback related to the content on this product.
Product Title
Spot an opportunity for improvement?Share a Content Correction