Promotional price valid on web orders only. Your contract pricing may differ. Interested in signing up for a dedicated account number?
Learn More
Learn More
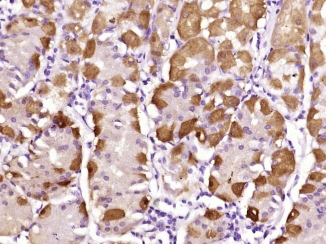
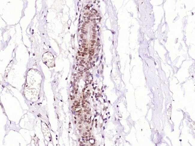
MDFI Rabbit anti-Human, Polyclonal, Bioss

Rabbit Polyclonal Antibody
Supplier: Bioss BS18743R
Description
MDFI is a transcription factor that negatively regulates other myogenic family proteins. Studies of the mouse homolog, I-mf, show that it interferes with myogenic factor function by masking nuclear localization signals and preventing DNA binding. Knockout mouse studies show defects in the formation of vertebrae and ribs that also involve cartilage formation in these structures. MDFI an also interfere with the DNA-binding activity of Myod family members and plays an important role in trophoblast and chondrogenic differentiation.Specifications
| MDFI | |
| Polyclonal | |
| Unconjugated | |
| Mdfi | |
| I-MF; I-mfa; inhibitor of MyoD family a; MDFI; MyoD family inhibitor; Myogenic repressor I-mf; RGD1560271 | |
| Rabbit | |
| Protein A | |
| RUO | |
| 4188 | |
| -20°C | |
| Liquid |
| Immunofluorescence, Immunohistochemistry (Paraffin) | |
| 1 μg/mL | |
| TBS with 1% BSA, 50% glycerol and 0.03% Proclin 300; pH | |
| Q99750 | |
| Mdfi | |
| KLH conjugated synthetic peptide derived from human MDFI. | |
| 100 μL | |
| Primary | |
| Human | |
| Antibody | |
| IgG |
Product Content Correction
The Fisher Scientific Encompass Program offers items which are not part of our distribution portfolio. These products typically do not have pictures or detailed descriptions. However, we are committed to improving your shopping experience. Please use the form below to provide feedback related to the content on this product.
Product Title
Spot an opportunity for improvement?Share a Content Correction