Promotional price valid on web orders only. Your contract pricing may differ. Interested in signing up for a dedicated account number?
Learn More
Learn More
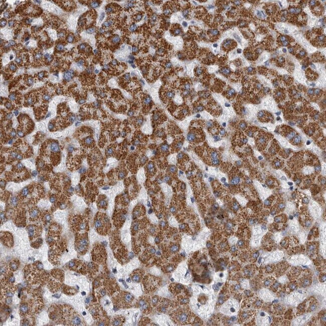
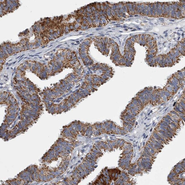
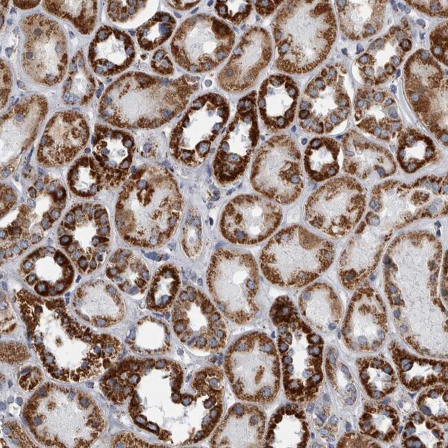
Invitrogen™ MDH2 Polyclonal Antibody

Rabbit Polyclonal Antibody
Supplier: Invitrogen™ PA5110924
Description
Immunogen sequence: MLSALARPAS AALRRSFSTS AQNNAKVAVL GASGGIGQPL SLLLKNSPLV SRLTLYDIAH TPGVAADLSH IETKAAVKGY LGPE.
Malate dehydrogenase catalyzes the reversible oxidation of malate to oxaloacetate, utilizing the NAD/NADH cofactor system in the citric acid cycle. The protein encoded by this gene is localized to the mitochondria and may play pivotal roles in the malate-aspartate shuttle that operates in the metabolic coordination between cytosol and mitochondria. Several transcript variants encoding different isoforms have been found for this gene. [provided by RefSeq, Sep 2013].
Specifications
| MDH2 | |
| Polyclonal | |
| Unconjugated | |
| MDH2 | |
| malate dehydrogenase 2; malate dehydrogenase 2, NAD (mitochondrial); malate dehydrogenase precursor (EC 1.1.1.37); malate dehydrogenase, mitochondrial; MDH; Mdh2; Mdh-2; MGC:3559; mitochondrial malate dehydrogenase 2, NAD; MMDH; M-MDH; Mor1; Mor-1; testicular tissue protein Li 120 | |
| Rabbit | |
| Antigen Affinity Chromatography | |
| RUO | |
| 17448, 4191, 81829 | |
| Store at 4°C short term. For long term storage, store at -20°C, avoiding freeze/thaw cycles. | |
| Liquid |
| Immunohistochemistry (Paraffin), Western Blot, Immunocytochemistry | |
| 0.2 mg/mL | |
| PBS with 40% glycerol and 0.02% sodium azide; pH 7.2 | |
| P04636, P08249, P40926 | |
| MDH2 | |
| Recombinant Protein corresonding to Human MDH2. Recombinant protein control fragment (Product #RP-92744). | |
| 100 μL | |
| Primary | |
| Human, Mouse, Rat | |
| Antibody | |
| IgG |
Safety and Handling
WARNING: Cancer - www.P65Warnings.ca.gov
Product Content Correction
Your input is important to us. Please complete this form to provide feedback related to the content on this product.
Product Title
Spot an opportunity for improvement?Share a Content Correction