Promotional price valid on web orders only. Your contract pricing may differ. Interested in signing up for a dedicated account number?
Learn More
Learn More
Invitrogen™ MDM2 Polyclonal Antibody

Rabbit Polyclonal Antibody
Supplier: Invitrogen™ PA5116459
Description
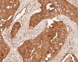
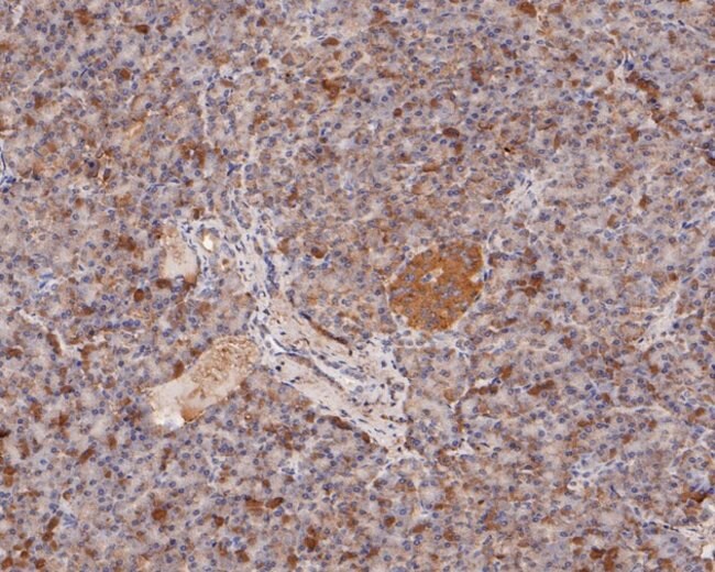
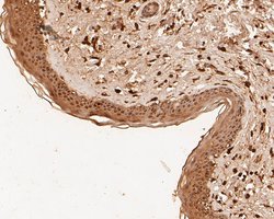
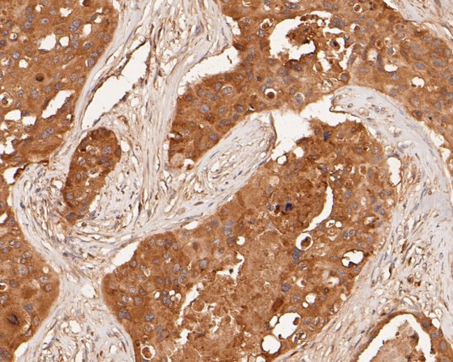
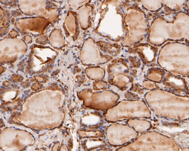
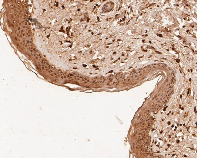
Positive controls: Human lung tissue lysate, Daudi cell lysate, HepG2, JAR, MCF-7, human thyroid tissue, human skin tissue, human breast carcinoma tissue, human small intestine tissue, human pancreas tissue, Daudi.
MDM2 is a ubiquitin ligase for p53 and plays a central role in regulation of the stability of p53. MDM2 is located on chromosome 12 on the q arm. Akt-mediated phosphorylation of MDM2 at Ser166 and Ser186 increases its interaction with p300, allowing MDM2-mediated ubiquitination and degradation of p53. Phosphorylation of MDM2 also blocks its binding to p19ARF, increasing the degradation of p53. MDM2 has also been shown to negatively regulate p53 function. MDM2 binds and inhibits transactivation role played by p53 and overexpression of MDM2 can result in the inactivation of p53 and decrease its tumor suppressor function. Another process by which MDM2 can inactivate p53 is by degrading p53 as the protein also possesses E3 ubiquitin ligase activity. Further, MDM2 plays important roles in apoptosis and cell cycle. MDM2 is over expressed in a wide range of human malignancies including soft tissue carcinomas and breast cancer. In addition to p53, MDM2 is involved in processes of cell cycle, apoptosis, and tumorigenesis through interactions with proteins that include retinoblastoma 1 and ribosomal protein L5. More than 40 different alternatively spliced transcript variants of MDM2 have been isolated from both tumor and normal tissues.
Specifications
| MDM2 | |
| Polyclonal | |
| Unconjugated | |
| MDM2 | |
| 1700007J15Rik; AA415488; ACTFS; double minute 2; double minute 2 protein; double minute 2, human homolog of; p53-binding protein; E3 ubiquitin-protein ligase Mdm2; Hdm2; HDMX; HGNC:6973; human homolog of; MDM2; Mdm-2; MDM2 oncogene, E3 ubiquitin protein ligase; Mdm2 p53 binding protein homolog; MDM2 proto-oncogene; MDM2 proto-oncogene, E3 ubiquitin protein ligase; MDM2 variant FB28; Mdm2, p53 E3 ubiquitin protein ligase homolog; Mdm2, transformed 3T3 cell double minute 2, p53 binding protein; MGC5370; MGC71221; oncoprotein Mdm2; OTTHUMP00000183490; OTTHUMP00000183492; OTTHUMP00000183494; OTTHUMP00000183495; OTTHUMP00000183496; OTTHUMP00000183497; p53 E3 ubiquitin protein ligase; p53-binding protein Mdm2; RING-type E3 ubiquitin transferase Mdm2; transformed mouse 3T3 cell double minute 2 | |
| Rabbit | |
| Protein A | |
| RUO | |
| 4193 | |
| Store at 4°C short term. For long term storage, store at -20°C, avoiding freeze/thaw cycles. | |
| Liquid |
| Flow Cytometry, Immunohistochemistry (Paraffin), Western Blot, Immunocytochemistry | |
| 1 mg/mL | |
| PBS with 0.2% BSA, 50% glycerol and 0.05% sodium azide; pH 7.4 | |
| Q00987 | |
| MDM2 | |
| Synthetic peptide within Human MDM2 aa 1-50. | |
| 100 μL | |
| Primary | |
| Human | |
| Antibody | |
| IgG |
Safety and Handling
WARNING: Cancer - www.P65Warnings.ca.gov
Product Content Correction
Your input is important to us. Please complete this form to provide feedback related to the content on this product.
Product Title
Spot an opportunity for improvement?Share a Content Correction