Learn More
Invitrogen™ MDMX Monoclonal Antibody (2D10F4)

Mouse Monoclonal Antibody
Supplier: Invitrogen™ MA515432
Description
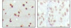
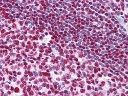
MA5-15432 targets MDM4 in indirect ELISA, IF, IHC, and WB applications and shows reactivity with Human samples. The MA5-15432 immunogen is purified recombinant fragment of human MDM4 expressed in E. Coli.. MA5-15432 detects MDM4 which has a predicted molecular weight of approximately 55kDa.
The MDM2 protein is the primary regulator of p53 protein stability. MDMX is an MDM2-related protein that inhibits MDM2-mediated degradation of p53 via distinct associations with MDM2. The gene that encodes MDMX (also designated MDM4) is a target for amplification in malignant gliomas. ARF interacts with MDMX to sequester MDMX within the nucleolus. This sequestration of MDMX by ARF results in an increase in p53 transactivation. In addition, expression of MDMX can reverse MDM2-targeted degradation of p53 while maintaining suppression of p53 transactivation. Like MDM2, MDMX also binds p73 and stabilizes the level of p73. Therefore, in striking contrast to p53, the half-life of p73 is increased by binding to MDM2.
Specifications
MDMX | |
Monoclonal | |
Conc. Not Determined | |
Ascites with 0.03% sodium azide | |
O15151 | |
MDM4 | |
Purified recombinant fragment of human MDM4 expressed in E. Coli. | |
RUO | |
4194 | |
Store at 4°C short term. For long term storage, store at -20°C, avoiding freeze/thaw cycles. | |
Liquid |
ELISA, Immunohistochemistry (Paraffin), Western Blot, Immunocytochemistry | |
2D10F4 | |
Unconjugated | |
MDM4 | |
4933417N07Rik; AA414968; AL023055; AU018793; AU021806; C85810; DKFZp781B1423; double minute 4 homolog; double minute 4 protein; double minute 4, human homolog of; p53-binding protein; HDMX; human homolog of; Mdm2-like p53-binding protein; MDM4; Mdm4 p53 binding protein homolog; MDM4 protein variant G; MDM4 protein variant Y; MDM4, p53 regulator; MDM4-related protein 1; Mdmx; MGC132766; MRP1; p53-binding protein Mdm4; Protein Mdm4; protein Mdmx; RP11-430C7.1; transformed mouse 3T3 cell double minute 4 | |
Mouse | |
100 μL | |
Primary | |
Human | |
Antibody | |
IgG1 |
Your input is important to us. Please complete this form to provide feedback related to the content on this product.