Promotional price valid on web orders only. Your contract pricing may differ. Interested in signing up for a dedicated account number?
Learn More
Learn More
Invitrogen™ MECR Polyclonal Antibody

Rabbit Polyclonal Antibody
Supplier: Invitrogen™ PA554555
Description
Immunogen sequence: VRALVYGHHG DPAKVVELKN LELAAVRGSD VRVKMLAAPI NPSDINMIQG NYGLLPELPA VGGNEGVAQV VAVGSNVTGL KPGDWVIPAN AGLGTWRTEA VFSEEALIQV Highest antigen sequence identity to the following orthologs: Mouse - 87%, Rat - 89%.
The mitochondrial trans-2-enoyl-CoA reductase (MECR), was initially identified as nuclear receptor-binding factor 1 (NRBF1), which can interact with a multitude of nuclear hormone receptors in the presence of the respective ligands. MECR has been shown to be part of the mitochondrial fatty acid synthesis (FAS II) system and to catalyze the NAPDH-dependent reduction of 2-enoyl thioesters, generating saturated acyl-groups. Overexpression of this gene in transgenic mice can lead to cardiac abnormalities, suggesting that inappropriate expression of genes of FAS II can result in the development of hereditary cardiomyopathy.
Specifications
| MECR | |
| Polyclonal | |
| Unconjugated | |
| Mecr | |
| 2-enoyl thioester reductase; AI195831; CGI-63; Enoyl-[acyl-carrier-protein] reductase, mitochondrial; FASN2B; homolog of yeast 2-enoyl thioester reductase; HsNrbf-1; Mecr; mitochondrial 2-enoyl thioester reductase; mitochondrial trans-2-enoyl-CoA reductase; NBRF1; Nrbf1; NRBF-1; nuclear receptor binding factor 1; nuclear receptor-binding factor 1; trans-2-enoyl-CoA reductase, mitochondrial | |
| Rabbit | |
| Antigen affinity chromatography | |
| RUO | |
| 51102 | |
| Store at 4°C short term. For long term storage, store at -20°C, avoiding freeze/thaw cycles. | |
| Liquid |
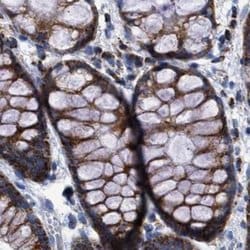
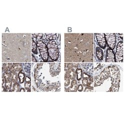
| Immunohistochemistry (Paraffin), Western Blot | |
| 0.1 mg/mL | |
| PBS with 40% glycerol and 0.02% sodium azide; pH 7.2 | |
| Q9BV79 | |
| Mecr | |
| Recombinant protein corresponding to Human MECR. Recombinant protein control fragment (Product #RP-93134). | |
| 100 μL | |
| Primary | |
| Human | |
| Antibody | |
| IgG |
Product Content Correction
Your input is important to us. Please complete this form to provide feedback related to the content on this product.
Product Title
Spot an opportunity for improvement?Share a Content Correction