Learn More
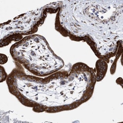
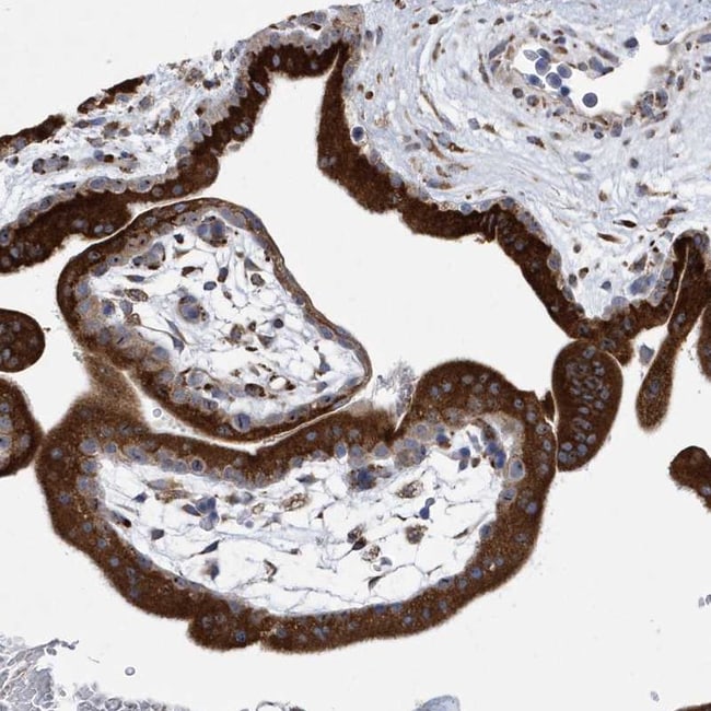
Invitrogen™ MED31 Polyclonal Antibody

Description
Immunogen sequence: AAAVAMETDD AGNRLRFQLE LEFVQCLANP NYLNFLAQRG YFKDKAFVNY LKYLLYWKDP EYAKYLKYPQ C Highest antigen sequence identity to the following orthologs: Mouse - 99%, Rat - 99%.
Specifications
Specifications
| Antigen | MED31 |
| Applications | ChIP Assay, Immunohistochemistry (Paraffin), Immunocytochemistry |
| Classification | Polyclonal |
| Concentration | 0.1 mg/mL |
| Conjugate | Unconjugated |
| Formulation | PBS with 40% glycerol and 0.02% sodium azide; pH 7.2 |
| Gene | MED31 |
| Gene Accession No. | Q9Y3C7 |
| Gene Alias | 3110004H13Rik; CGI-125; fa04d01; FLJ27436; FLJ36714; hSOH1; l11Jus15; med31; Mediator complex subunit 31; mediator complex subunit soh1; Mediator of RNA polymerase II transcription subunit 31; mediator of RNA polymerase II transcription subunit 31; LOW QUALITY PROTEIN: mediator of RNA polymerase II transcription subunit 31; mediator of RNA polymerase II transcription, subunit 31 homolog; RGD1309457; soh1; wu:fa04d01; zgc:92673 |
| Gene Symbols | MED31 |
| Show More |
By clicking Submit, you acknowledge that you may be contacted by Fisher Scientific in regards to the feedback you have provided in this form. We will not share your information for any other purposes. All contact information provided shall also be maintained in accordance with our Privacy Policy.