Promotional price valid on web orders only. Your contract pricing may differ. Interested in signing up for a dedicated account number?
Learn More
Learn More
Invitrogen™ MED4 Polyclonal Antibody

Rabbit Polyclonal Antibody
Supplier: Invitrogen™ PA520571
Description
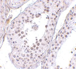
A suggested positive control is human testis tissue lysate. PA5-20571 can be used with blocking peptide PEP-0691.
The Mediator is a multiprotein coactivator that is required by DNA-binding transcription factors for activation of polymerase II transcribed genes. MED4 appears to be a core Mediator subunit and is found in nearly all Mediator preparations (Sato et al., 2004).
Specifications
| MED4 | |
| Polyclonal | |
| Unconjugated | |
| MED4 | |
| 2410046H15Rik; Activator-recruited cofactor 36 kDa component; ARC36; DRIP36; FLJ10956; HSPC126; hypothetical protein LOC550582; LOW QUALITY PROTEIN: mediator of RNA polymerase II transcription subunit 4; MED4; Mediator complex subunit 4; mediator of RNA polymerase II transcription subunit 4; mediator of RNA polymerase II transcription, subunit 4 homolog; mediator, 34-kD subunit, homolog; p36 TRAP/SMCC/PC2 subunit; RP11-90M2.2; TRAP/SMCC/PC2 subunit p36; TRAP/SMCC/PC2 subunit p36 subunit; TRAP36; Vdirp; Vdrip; vitamin D receptor interacting protein; vitamin D receptor-interacting protein, 36-kD; vitamin D3 receptor-interacting protein complex 36 kDa component; zgc:110646 | |
| Rabbit | |
| Antigen affinity chromatography | |
| RUO | |
| 29079, 306030, 67381 | |
| Maintain refrigerated at 2-8°C for up to 3 months. For long term storage store at -20°C | |
| Liquid |
| Immunohistochemistry, Western Blot | |
| 1 mg/mL | |
| PBS with 0.02% sodium azide | |
| Q561Q8, Q9CQA5, Q9NPJ6 | |
| MED4 | |
| A 17 amino acid peptide from near the carboxy terminus of human MED4. | |
| 100 μg | |
| Primary | |
| Human, Mouse, Rat | |
| Antibody | |
| IgG |
Safety and Handling
WARNING: Cancer - www.P65Warnings.ca.gov
Product Content Correction
Your input is important to us. Please complete this form to provide feedback related to the content on this product.
Product Title
Spot an opportunity for improvement?Share a Content Correction