Promotional price valid on web orders only. Your contract pricing may differ. Interested in signing up for a dedicated account number?
Learn More
Learn More
MEF2A/C Rabbit anti-Human, Mouse, Clone: 10I9G9, Novus Biologicals™

Rabbit Monoclonal Antibody
Supplier: Novus Biologicals NBP316143100UL
This item is not returnable.
View return policy
Description
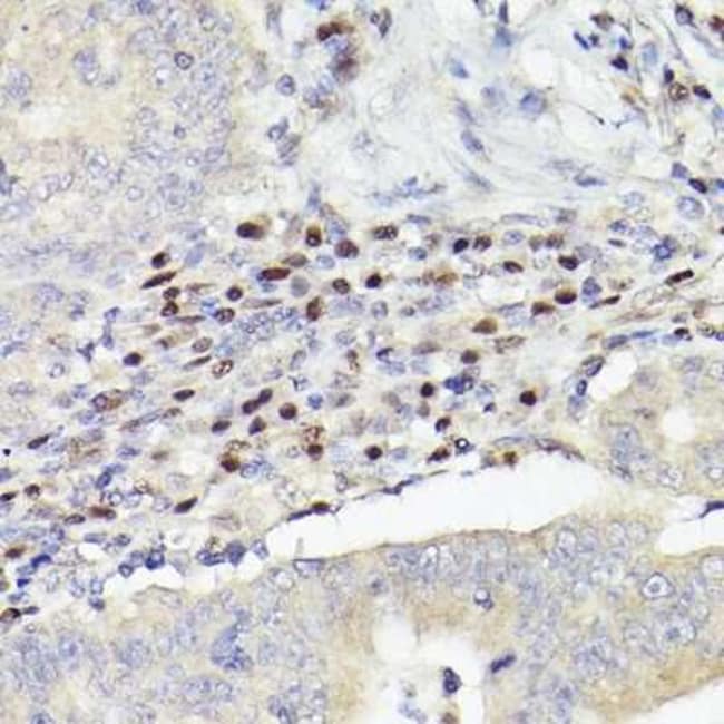
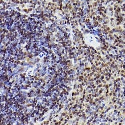
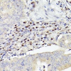
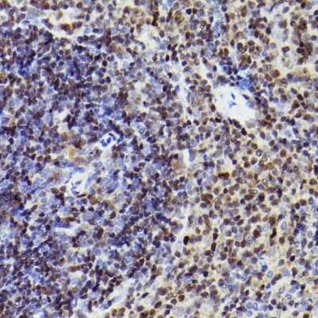
MEF2A/C Monoclonal antibody specifically detects MEF2A/C in Human, Mouse samples. It is validated for Western Blot, Immunohistochemistry, Immunohistochemistry (Paraffin)Specifications
MEF2A/C | |
Monoclonal | |
Unconjugated | |
PBS, 0.05% BSA, 50% glycerol, pH7.3 | |
Recombinant fusion protein containing a sequence corresponding to amino acids 250-473 of human MEF2A/C (Q06413). | |
100 μg | |
Primary | |
Store at -20°C. Avoid freeze-thaw cycles. | |
IgG |
Western Blot, Immunohistochemistry, Immunohistochemistry (Paraffin) | |
10I9G9 | |
Western Blot, Immunohistochemistry 1:50 - 1:200, Immunohistochemistry-Paraffin | |
Rabbit | |
Affinity purified | |
RUO | |
Human, Mouse | |
Purified |
Product Content Correction
Your input is important to us. Please complete this form to provide feedback related to the content on this product.
Product Title
Spot an opportunity for improvement?Share a Content Correction