Promotional price valid on web orders only. Your contract pricing may differ. Interested in signing up for a dedicated account number?
Learn More
Learn More
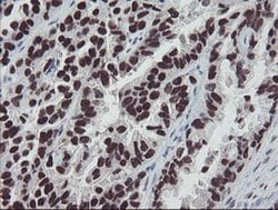
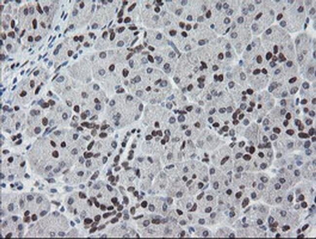
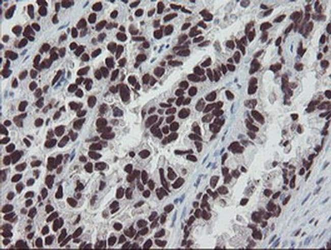
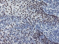
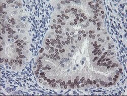
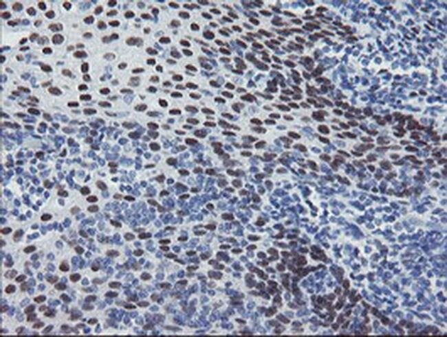
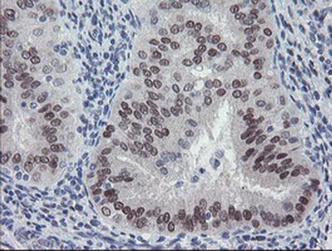
MEIS3 Monoclonal Antibody (OTI3C9), TrueMAB™, OriGene

Mouse Monoclonal Antibody
Supplier: OriGene TA800264

Description
Transcriptional regulator which directly modulates PDPK1 expression, thus promoting survival of pancreatic beta-cells. Also regulates expression of NDFIP1, BNIP3, and CCNG1.Specifications
MEIS3 | |
Monoclonal | |
1 mg/mL | |
PBS with 1% BSA, 50% glycerol and 0.02% sodium azide | |
Q99687 | |
MEIS3 | |
Human recombit protein fragment corresponding to amino acids 1-261 of human MEIS3 produced in E.coli. | |
100 μL | |
Primary | |
Human | |
Antibody | |
IgG1 |
Flow Cytometry, Immunohistochemistry (Paraffin), Western Blot | |
OTI3C9 | |
Unconjugated | |
MEIS3 | |
MRG2 | |
Mouse | |
Affinity Chromatography | |
RUO | |
56917 | |
-20° C, Avoid Freeze/Thaw Cycles | |
Liquid |
Product Content Correction
The Fisher Scientific Encompass Program offers items which are not part of our distribution portfolio. These products typically do not have pictures or detailed descriptions. However, we are committed to improving your shopping experience. Please use the form below to provide feedback related to the content on this product.
Product Title
Spot an opportunity for improvement?Share a Content Correction