Promotional price valid on web orders only. Your contract pricing may differ. Interested in signing up for a dedicated account number?
Learn More
Learn More
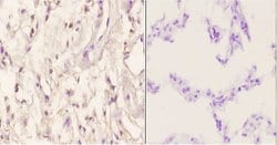
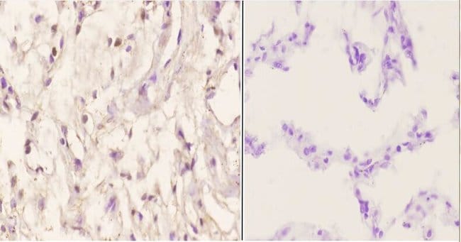
Invitrogen™ Menin Polyclonal Antibody

Rabbit Polyclonal Antibody
Supplier: Invitrogen™ PA586717
Description
Purity is > 95% by SDS-PAGE.
Potassium channels are a group of ubiquitously expressed proteins that serve numerous functions in excitable and non-excitable cells. One class of integral membrane potassium channels is the large conductance, calcium-activated potassium channel (Maxi K+). Maxi K+ differs from most other potassium channels in that its activation is controlled by both increases in intracellular calcium and by membrane depolarization. Maxi K+ dual activation is possible because of its structure. The core of the channel, which is similar to other potassium channels, is a Maxi K+ alpha homotetramer that contains both a voltage sensor and an intracellular calcium binding domain. In vascular smooth muscle, an auxiliary beta-subunit is found in a 1:1 stoichiometry. The beta-subunit exhibits its effect on the Maxi K+ channel by effectively decreasing by 5- to 10- fold the concentration of calcium required to keep the pore open.
Specifications
Menin | |
Polyclonal | |
Unconjugated | |
MEN1 | |
AW045611; MEAI; MEN1; Menin; menin 1; multiple endocrine neoplasia 1; multiple endocrine neoplasia I; SCG2 | |
Rabbit | |
Antigen affinity chromatography | |
RUO | |
17283, 29417, 4221 | |
Store at 4°C short term. For long term storage, store at -20°C, avoiding freeze/thaw cycles. | |
Liquid |
Immunohistochemistry (Paraffin), Western Blot | |
1 mg/mL | |
PBS with 50% glycerol and 0.02% sodium azide; pH 7.2 | |
O00255, O88559, Q9WVR8 | |
MEN1 | |
Synthetic peptide, corresponding to amino acids 213-258 of Human Menin. | |
100 μL | |
Primary | |
Human, Mouse, Rat | |
Antibody | |
IgG |
Safety and Handling
WARNING: Cancer - www.P65Warnings.ca.gov
Product Content Correction
Your input is important to us. Please complete this form to provide feedback related to the content on this product.
Product Title
Spot an opportunity for improvement?Share a Content Correction