Promotional price valid on web orders only. Your contract pricing may differ. Interested in signing up for a dedicated account number?
Learn More
Learn More
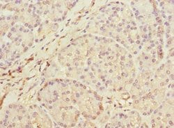
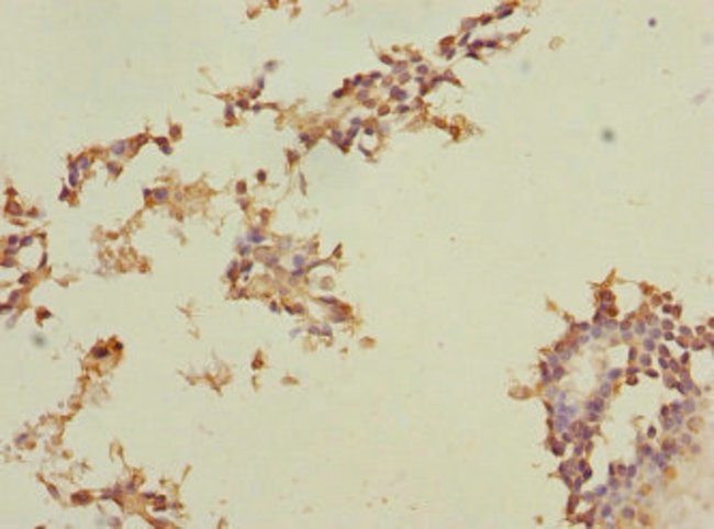
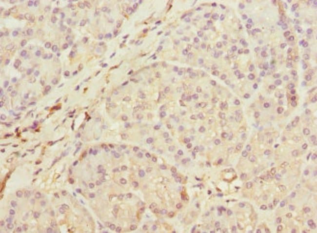
Invitrogen™ MEST Polyclonal Antibody

Rabbit Polyclonal Antibody
Supplier: Invitrogen™ PA5112967
Description
MEST Polyclonal Antibody for Western Blot, ICC/IF, IHC (P), ELISA
This gene encodes a member of the alpha/beta hydrolase superfamily. It is imprinted, exhibiting preferential expression from the paternal allele in fetal tissues, and isoform-specific imprinting in lymphocytes. The loss of imprinting of this gene has been linked to certain types of cancer and may be due to promotor switching. The encoded protein may play a role in development. Alternatively spliced transcript variants encoding multiple isoforms have been identified for this gene. Pseudogenes of this gene are located on the short arm of chromosomes 3 and 4, and the long arm of chromosomes 6 and 15.
Specifications
| MEST | |
| Polyclonal | |
| Unconjugated | |
| Mest | |
| 121a; AA408879; AI256745; DKFZp686L18234; mesoderm specific transcript; mesoderm specific transcript homolog; mesoderm-specific transcript homolog protein; Mesoderm-specific transcript protein; MEST; MGC111102; MGC8703; Paternally-expressed gene 1 protein; Peg1 | |
| Rabbit | |
| Antigen affinity chromatography | |
| RUO | |
| 17294, 4232 | |
| -20°C or -80°C if preferred | |
| Liquid |
| ELISA, Immunohistochemistry (Paraffin), Western Blot, Immunocytochemistry | |
| 0.43 mg/mL | |
| PBS with 50% glycerol and 0.02% sodium azide; pH 7.3 | |
| Q07646, Q5EB52 | |
| Mest | |
| Recombinant Human Mesoderm-specific transcript homolog protein (146-335AA). | |
| 100 μL | |
| Primary | |
| Human, Mouse | |
| Antibody | |
| IgG |
Product Content Correction
Your input is important to us. Please complete this form to provide feedback related to the content on this product.
Product Title
Spot an opportunity for improvement?Share a Content Correction