Learn More
Invitrogen™ METTL4 Polyclonal Antibody

Rabbit Polyclonal Antibody
Supplier: Invitrogen™ PA597202
Description
Immunogen sequence: MSVVHQLSAG WLLDHLSFIN KINYQLHQHH EPCCRKKEFT TSVHFESLQM DSVSSSGVCA AFIASDSSTK PENDDGGNYE MFTRKFVFRP ELFDVTKPYI TPAVHKECQQ SNEKEDLMNG VKKEISISII GKKRKRCVVF NQGELDAMEY HTKIRELILD GSLQLIQEGL KSGFLYPLFE KQDKGSKPIT; Positive Samples: A-549, 293T, HeLa, MCF7, Mouse brain, Rat brain.
METTL4 gene ontology annotations related to this gene include methyltransferase activity; nucleic acid binding.
Specifications
METTL4 | |
Polyclonal | |
Unconjugated | |
METTL4 | |
2410198H06Rik; A730091E08Rik; AV296509; HsT661; methyltransferase like 4; methyltransferase-like protein 4; METTL4; N(6)-adenine-specific DNA methyltransferase METTL4; N(6)-adenine-specific methyltransferase METTL4; N(6)-adenine-specific methyltransferase METTL4; methyltransferase-like protein 4; RGD1306451 | |
Rabbit | |
Affinity Chromatography | |
RUO | |
316731, 64863, 76781 | |
-20°C, Avoid Freeze/Thaw Cycles | |
Liquid |
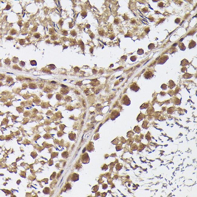
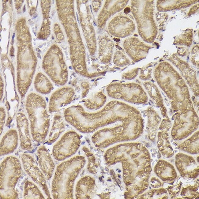
Immunohistochemistry (Paraffin), Western Blot, Immunocytochemistry | |
0.62 mg/mL | |
PBS with 50% glycerol and 0.09% sodium azide; pH 7.3 | |
Q3U034, Q8N3J2 | |
METTL4 | |
Recombinant fusion protein containing a sequence corresponding to amino acids 1-190 of human METTL4 (NP_0737513). | |
100 μL | |
Primary | |
Human, Mouse, Rat | |
Antibody | |
IgG |
Your input is important to us. Please complete this form to provide feedback related to the content on this product.