Promotional price valid on web orders only. Your contract pricing may differ. Interested in signing up for a dedicated account number?
Learn More
Learn More
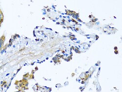
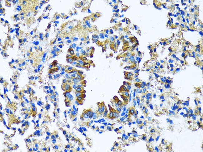
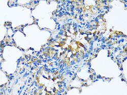
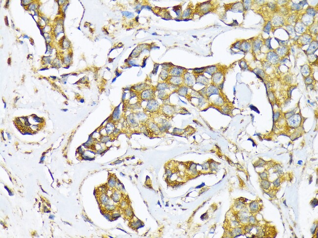
Invitrogen™ MFGE8 Polyclonal Antibody

Rabbit Polyclonal Antibody
Supplier: Invitrogen™ PA5109955
Description
Immunogen sequence: LDICSKNPCH NGGLCEEISQ EVRGDVFPSY TCTCLKGYAG NHCETKCVEP LGLENGNIAN SQIAASSVRV TFLGLQHWVP ELARLNRAGM VNAWTPSSND DNPWIQVNLL RRMWVTGVVT QGASRLASHE YLKAFKVAYS LNGHEFDFIH DVNKKHKEFV GNWNKNAVHV NLFETPVEAQ YVRLYPTSCH TACTLRFELL.
This gene encodes a preproprotein that is proteolytically processed to form multiple protein products. The major encoded protein product, lactadherin, is a membrane glycoprotein that promotes phagocytosis of apoptotic cells. This protein has also been implicated in wound healing, autoimmune disease, and cancer. Lactadherin can be further processed to form a smaller cleavage product, medin, which comprises the major protein component of aortic medial amyloid (AMA). Alternative splicing results in multiple transcript variants.
Specifications
MFGE8 | |
Polyclonal | |
Unconjugated | |
MFGE8 | |
AA408458; AGS; AI325141; BA46; breast epithelial antigen BA46; EDIL1; EGF/factor VIII; HMFG; hP47; HsT19888; lactadherin; Lactadherin short form; Medin; Mfge8; MFG-E8; MFGM; MFGME8; MFGMP-E8; milk fat globule glycoprotein; milk fat globule membrane; milk fat globule membrane protein; Milk fat globule-EGF factor 8; milk fat globule-EGF factor 8 protein; MP47; O-acetyl disialoganglioside synthase; O-acetyl GD3 ganglioside synthase; O-acetyltransferase milk fat globule membrane protein; O-acetyltransferase Milk fat glolbule membrane protein; OAcGD3S; P47; SED1; SPAG10; sperm associated antigen 10; sperm surface protein hP47; sperm surface protein SP47 | |
Rabbit | |
Affinity chromatography | |
RUO | |
17304, 25277, 4240 | |
-20°C, Avoid Freeze/Thaw Cycles | |
Liquid |
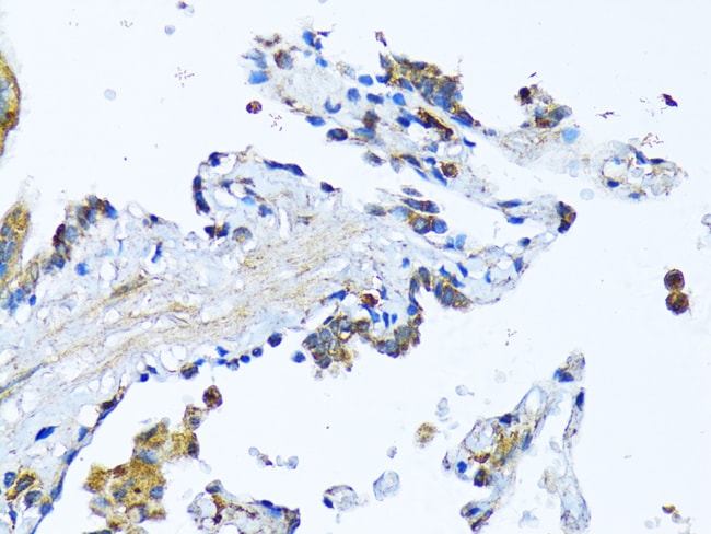
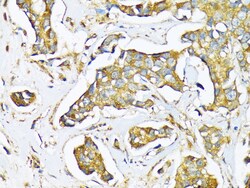
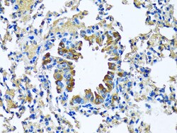
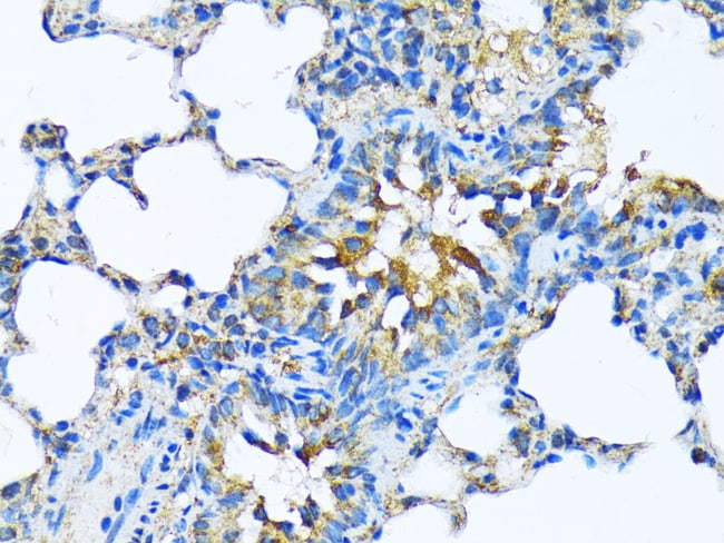
ELISA, Immunohistochemistry (Paraffin), Western Blot, Immunocytochemistry | |
0.63 mg/mL | |
PBS with 50% glycerol and 0.09% sodium azide; pH 7.3 | |
P21956, P70490, Q08431 | |
MFGE8 | |
Recombinant fusion protein containing a sequence corresponding to amino acids 1-200 of human MFGE8 (NP_0059192). | |
100 μL | |
Primary | |
Human, Mouse, Rat | |
Antibody | |
IgG |
Safety and Handling
WARNING: Cancer - www.P65Warnings.ca.gov
Product Content Correction
Your input is important to us. Please complete this form to provide feedback related to the content on this product.
Product Title
Spot an opportunity for improvement?Share a Content Correction