Promotional price valid on web orders only. Your contract pricing may differ. Interested in signing up for a dedicated account number?
Learn More
Learn More
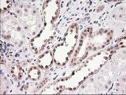
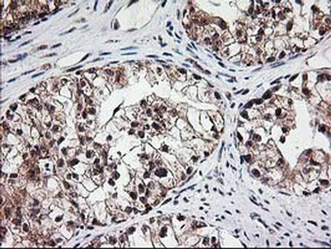
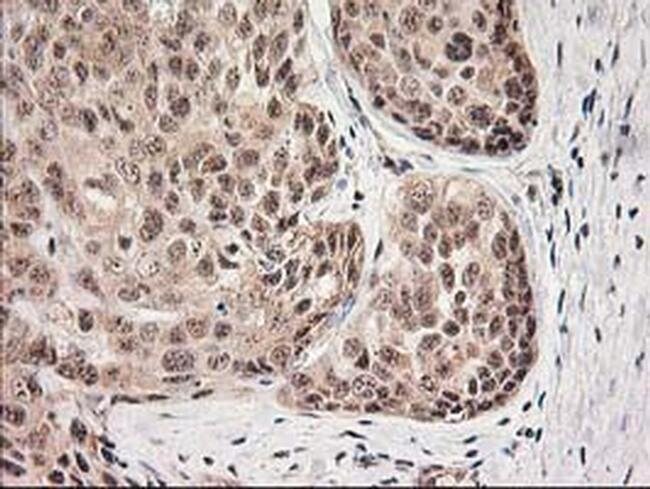
MGLL Monoclonal Antibody (OTI4D1), TrueMAB™, OriGene

Mouse Monoclonal Antibody
Supplier: OriGene TA503067

Description
Monoglyceride lipase functions together with hormone-sensitive lipase to hydrolyze intracellular triglyceride stores in adipocytes and other cells to fatty acids and glycerol. MGLL may also complement lipoprotein lipase in completing hydrolysis of monoglycerides resulting from degradation of lipoprotein triglycerides.Specifications
MGLL | |
Monoclonal | |
0.62 mg/mL | |
PBS with 1% BSA, 50% glycerol and 0.02% sodium azide | |
Q99685 | |
MGLL | |
Full length human recombit protein of human MGLL produced in HEK293T cell. | |
100 μL | |
Primary | |
Human | |
Antibody | |
IgG2b |
Flow Cytometry, Immunocytochemistry, Immunofluorescence, Immunohistochemistry (Paraffin), Western Blot | |
OTI4D1 | |
Unconjugated | |
MGLL | |
HU-K5, HUK5, MAGL, MGL | |
Mouse | |
Affinity Chromatography | |
RUO | |
11343 | |
-20° C, Avoid Freeze/Thaw Cycles | |
Liquid |
Product Content Correction
The Fisher Scientific Encompass Program offers items which are not part of our distribution portfolio. These products typically do not have pictures or detailed descriptions. However, we are committed to improving your shopping experience. Please use the form below to provide feedback related to the content on this product.
Product Title
Spot an opportunity for improvement?Share a Content Correction