Promotional price valid on web orders only. Your contract pricing may differ. Interested in signing up for a dedicated account number?
Learn More
Learn More
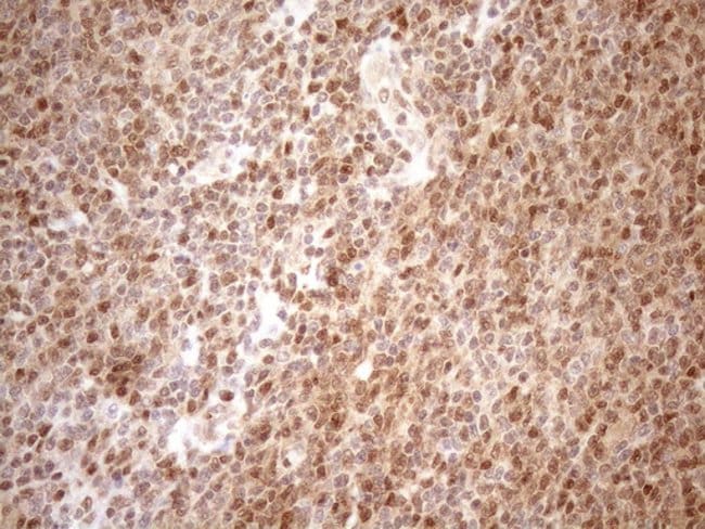
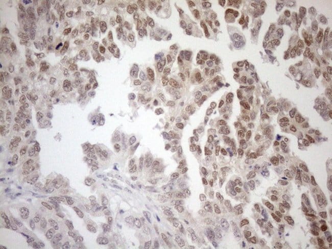
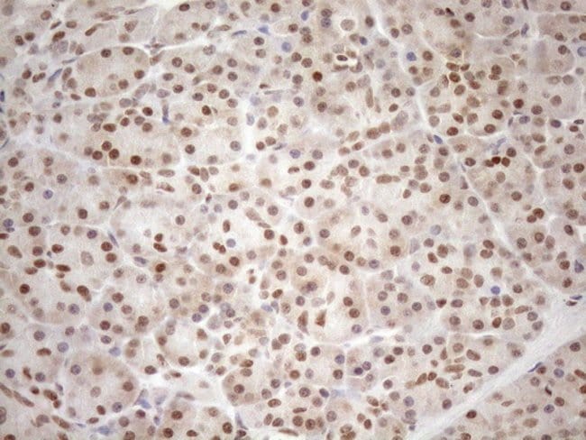
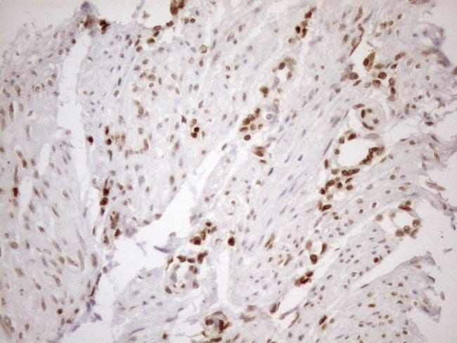
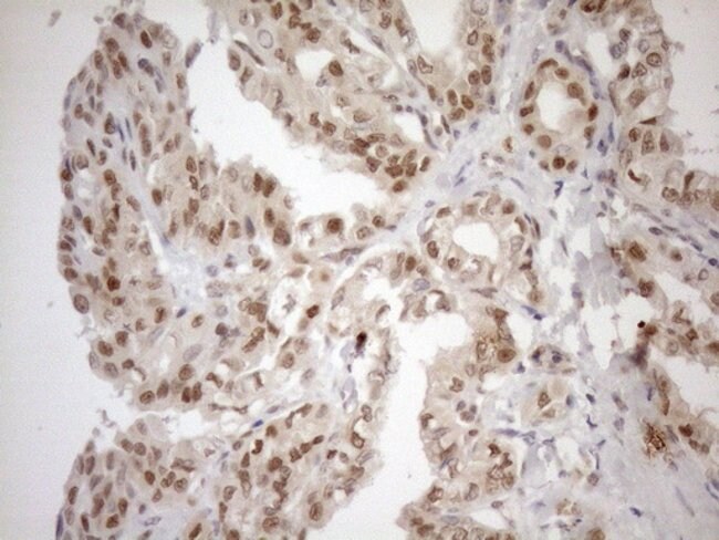
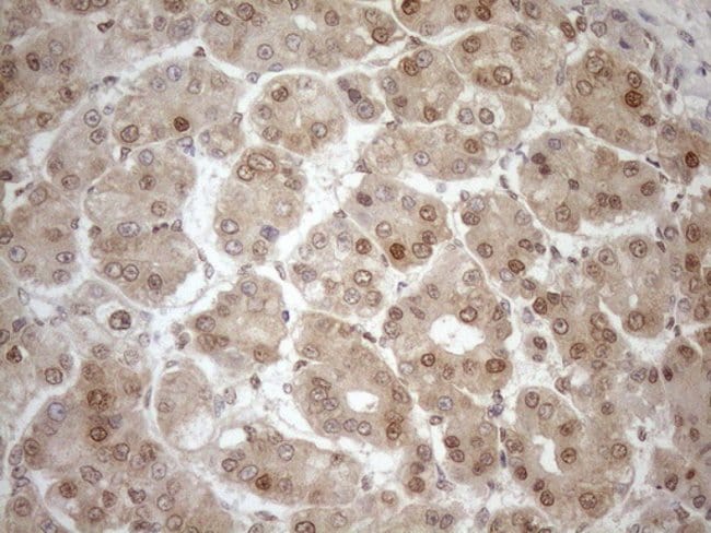
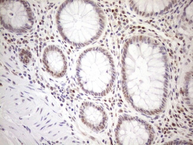
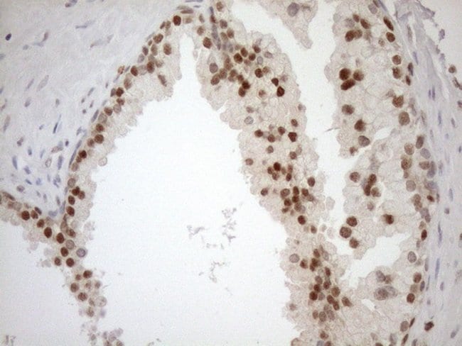
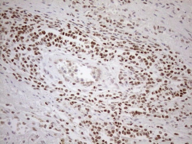
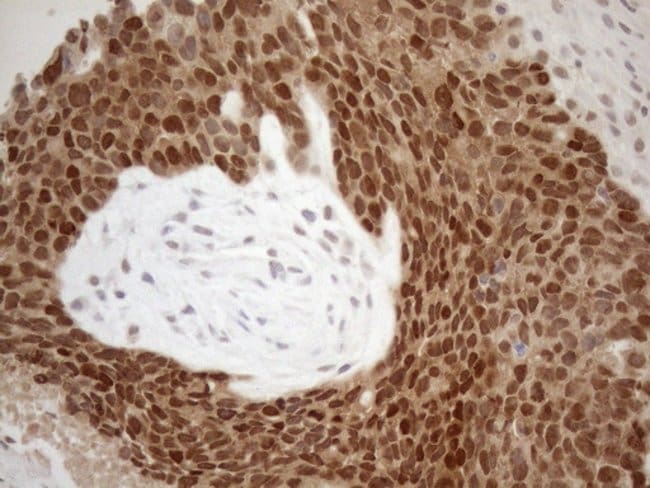
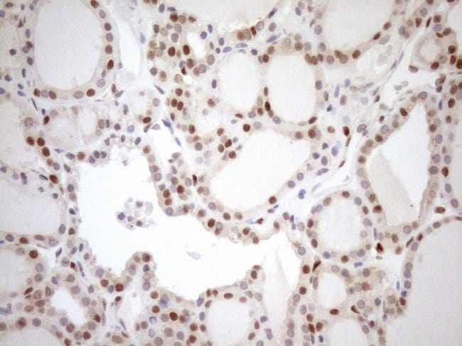
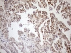
MGMT Monoclonal Antibody (OTI2E2), TrueMAB™, OriGene

Mouse Monoclonal Antibody
Supplier: OriGene TA809129

Description
O6-Methylguanine-DNA Methyltransferase (MGMT) is an important DNA repair protein involved in tumor cell resistance to the cytostatic activity of chemotherapeutic alkylating agents. This protein is also effective in protecting normal cells against the genotoxic and carcinogenic effects of DNA alkylation. The alkylating drug resistance is caused by MGMT′s ability to remove DNA alkyl groups introduced in the O6 position of guanine. MGMT is expressed in highly variable amounts, depending upon the cell and tissue type, species, and cellular growth characteristics. In addition, MGMT activity varies among groups of tumors and within a particular type of tumor.Specifications
MGMT | |
Monoclonal | |
1 mg/mL | |
PBS with 1% BSA, 50% glycerol and 0.02% sodium azide | |
P16455 | |
MGMT | |
Full length human recombit protein of human MGMT produced in HEK293T cell. | |
100 μL | |
Primary | |
Human | |
Antibody | |
IgG1 |
Immunohistochemistry (Paraffin), Western Blot | |
OTI2E2 | |
Unconjugated | |
MGMT | |
O-6-methylguanine-DNA methyltransferase | |
Mouse | |
Affinity Chromatography | |
RUO | |
4255 | |
-20° C, Avoid Freeze/Thaw Cycles | |
Liquid |
Product Content Correction
The Fisher Scientific Encompass Program offers items which are not part of our distribution portfolio. These products typically do not have pictures or detailed descriptions. However, we are committed to improving your shopping experience. Please use the form below to provide feedback related to the content on this product.
Product Title
Spot an opportunity for improvement?Share a Content Correction