Promotional price valid on web orders only. Your contract pricing may differ. Interested in signing up for a dedicated account number?
Learn More

Invitrogen™ MIDN Polyclonal Antibody

Catalog No. PIPA559825
Change view
Click to view available options
Quantity:
100 μL
1 product options available for selection
Product selection table with 1 available options. Use arrow keys to navigate and Enter or Space to select.
Catalog No. Quantity
PIPA559825 100 μL
Use arrow keys to navigate between rows. Press Enter or Space to select a product option. 1 options available.
1 options
Catalog No. PIPA559825 Supplier Invitrogen™ Supplier No. PA559825

Rabbit Polyclonal Antibody

Immunogen sequence: VPKERLALLH KDTRLSSGKL QEFGVGDGSK LTLVPTVEAG LMSQASRPEQ SVMQALESLT ETQVSDFLSG RSPLTLALRV GDHMMFVQLQ LAAQHAPLQ Highest antigen sequence identity to the following orthologs: Mouse - 100%, Rat - 70%.

Expression of the midnolin gene is developmentally regulated: it is strongly expressed at the mesencephalon (midbrain) of the embryo in day 12.5 (E12.5) mice. The midnolin encodes a protein of 508 amino acids (aa), which contains a Ubiquitin-like domain. The intracellular distribution of the midnolin was studied by using midnolin-green fluorescent protein (GFP) fusion proteins. Midnolin was found to be localized in the nucleus and nucleolus, but not in the cytoplasm. The nucleolar localization signal was determined to be a 28aa peptide located at the C-terminal region of the midnolin. May be involved in regulation of genes related to neurogenesis in the nucleolus.
TRUSTED_SUSTAINABILITY

Specifications

Antigen MIDN
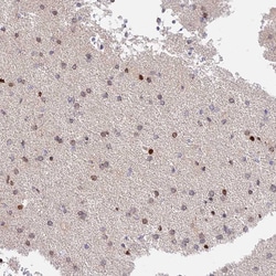
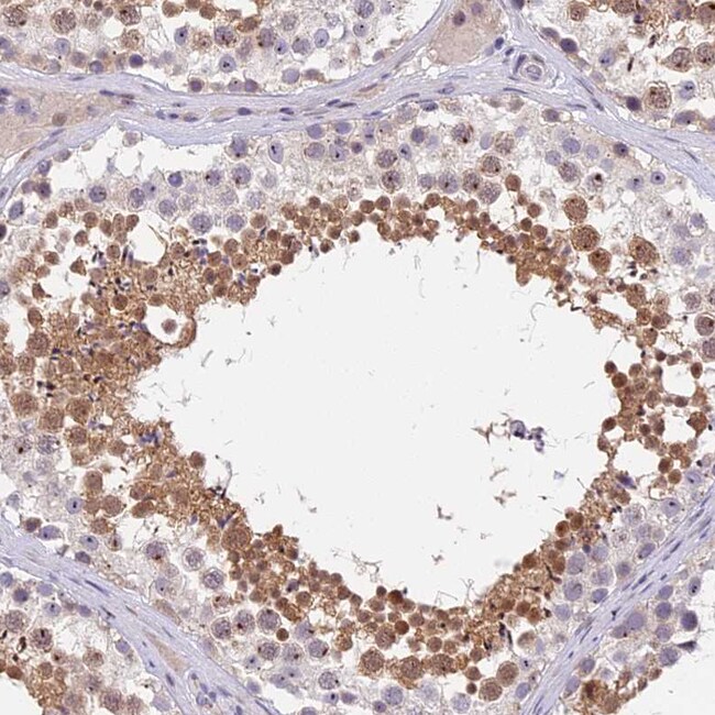
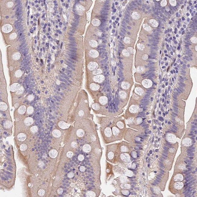
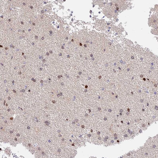
Applications Immunohistochemistry (Paraffin), Western Blot
Classification Polyclonal
Concentration 0.1 mg/mL
Conjugate Unconjugated
Formulation PBS with 40% glycerol and 0.02% sodium azide; pH 7.2
Gene MIDN
Gene Accession No. Q504T8
Gene Alias 3000003C15Rik; DKFZp547M072; midbrain nucleolar protein; Midn; Midnolin
Gene Symbols MIDN
Host Species Rabbit
Immunogen Recombinant protein corresponding to Human MIDN. Recombinant protein control fragment (Product #RP-99143).
Purification Method Antigen affinity chromatography
Quantity 100 μL
Regulatory Status RUO
Primary or Secondary Primary
Gene ID (Entrez) 90007
Target Species Human
Content And Storage Store at 4°C short term. For long term storage, store at -20°C, avoiding freeze/thaw cycles.
Product Type Antibody
Form Liquid
Isotype IgG
Show More Show Less
Product Title
Select an issue

By clicking Submit, you acknowledge that you may be contacted by Fisher Scientific in regards to the feedback you have provided in this form. We will not share your information for any other purposes. All contact information provided shall also be maintained in accordance with our Privacy Policy.