Promotional price valid on web orders only. Your contract pricing may differ. Interested in signing up for a dedicated account number?
Learn More
Learn More
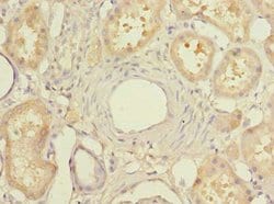
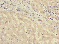
Invitrogen™ MIER2 Polyclonal Antibody

Rabbit Polyclonal Antibody
Supplier: Invitrogen™ PA5113125
Description
MIER2 Polyclonal Antibody for Western Blot, IHC (P), ELISA
Transcriptional repressor.
Specifications
| MIER2 | |
| Polyclonal | |
| Unconjugated | |
| Mier2 | |
| 2700087H15Rik; KIAA1193; mesoderm induction early response 1, family member 2; mesoderm induction early response protein 2; MIER family member 2; MIER2; Mi-er2; mKIAA1193; RGD1307278 | |
| Rabbit | |
| Protein G | |
| RUO | |
| 54531 | |
| -20°C or -80°C if preferred | |
| Liquid |
| ELISA, Immunohistochemistry (Paraffin), Western Blot | |
| 2 mg/mL | |
| PBS with 50% glycerol and 0.03% ProClin 300; pH 7.4 | |
| Q8N344 | |
| Mier2 | |
| Recombinant Human Mesoderm induction early response protein 2 protein (1-545AA). | |
| 100 μg | |
| Primary | |
| Human | |
| Antibody | |
| IgG |
Safety and Handling
WARNING: Cancer - www.P65Warnings.ca.gov
Product Content Correction
Your input is important to us. Please complete this form to provide feedback related to the content on this product.
Product Title
Spot an opportunity for improvement?Share a Content Correction