Promotional price valid on web orders only. Your contract pricing may differ. Interested in signing up for a dedicated account number?
Learn More
Learn More
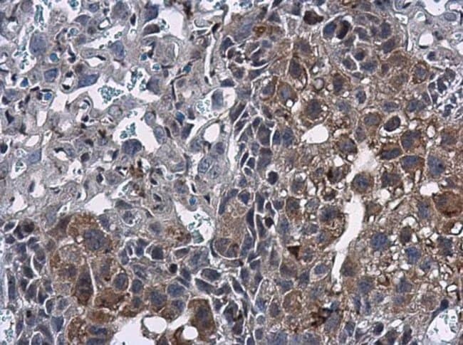
Invitrogen™ Mig-6 Polyclonal Antibody

Rabbit Polyclonal Antibody
Supplier: Invitrogen™ PA531137
Description
Recommended positive controls: HCT116. Predicted reactivity: Rhesus Monkey (99%). Store product as a concentrated solution. Centrifuge briefly prior to opening the vial.
ERRFI1 is a cytoplasmic protein whose expression is upregulated with cell growth (Wick et al., 1995). It shares significant homology with the protein product of rat gene-33, which is induced during cell stress and mediates cell signaling (Makkinje et al., 2000).
Specifications
| Mig-6 | |
| Polyclonal | |
| Unconjugated | |
| Errfi1 | |
| 1300002F13Rik; 33; AI788755; ERBB receptor feedback inhibitor 1; Errfi1; gene 33; Gene 33 polypeptide; GENE-33; MIG6; MIG-6; Mitogen-inducible gene 6 protein; mitogen-inducible gene 6 protein homolog; RALT; Receptor-associated late transducer; RGD1307599; Xxx | |
| Rabbit | |
| Antigen affinity chromatography | |
| RUO | |
| 54206, 74155 | |
| Store at 4°C short term. For long term storage, store at -20°C, avoiding freeze/thaw cycles. | |
| Liquid |
| Immunohistochemistry (Paraffin), Western Blot | |
| 0.29 mg/mL | |
| PBS with 1% BSA, 20% glycerol and 0.025% ProClin 300; pH 7 | |
| Q99JZ7, Q9UJM3 | |
| Errfi1 | |
| Recombinant protein encompassing a sequence within the center region of human Mig-6. The exact sequence is proprietary. | |
| 100 μL | |
| Primary | |
| Human, Mouse | |
| Antibody | |
| IgG |
Safety and Handling
WARNING: Cancer - www.P65Warnings.ca.gov
Product Content Correction
Your input is important to us. Please complete this form to provide feedback related to the content on this product.
Product Title
Spot an opportunity for improvement?Share a Content Correction