Promotional price valid on web orders only. Your contract pricing may differ. Interested in signing up for a dedicated account number?
Learn More
Learn More
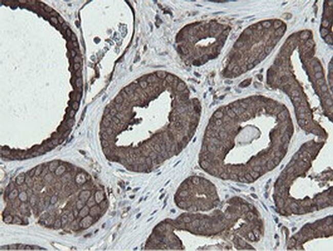
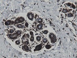
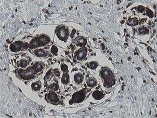
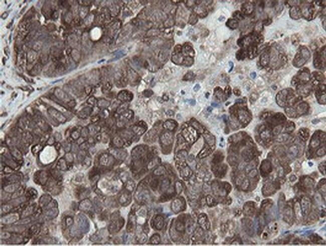
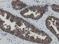
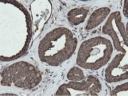
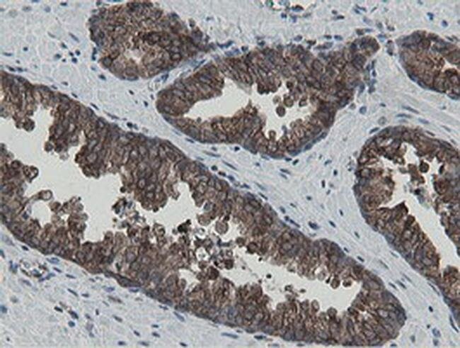
MIPEP Monoclonal Antibody (OTI5E7), TrueMAB™, OriGene

Mouse Monoclonal Antibody
Supplier: OriGene TA800254

Description
The product of this gene performs the final step in processing a specific class of nuclear-encoded proteins targeted to the mitochondrial matrix or inner membrane. This protein is primarily involved in the maturation of oxidative phosphorylation (OXPHOS)-related proteins. This gene may contribute to the functional effects of frataxin deficiency and the clinical manifestations of Friedreich ataxia.Specifications
MIPEP | |
Monoclonal | |
1 mg/mL | |
PBS with 1% BSA, 50% glycerol and 0.02% sodium azide | |
Q99797 | |
MIPEP | |
Human recombit protein fragment corresponding to amino acids 174-516 of human MIPEP produced in E.coli. | |
100 μL | |
Primary | |
Human | |
Antibody | |
IgG1 |
Flow Cytometry, Immunocytochemistry, Immunofluorescence, Immunohistochemistry (Paraffin), Western Blot | |
OTI5E7 | |
Unconjugated | |
MIPEP | |
COXPD31, HMIP, MIP | |
Mouse | |
Affinity Chromatography | |
RUO | |
4285 | |
-20° C, Avoid Freeze/Thaw Cycles | |
Liquid |
Product Content Correction
The Fisher Scientific Encompass Program offers items which are not part of our distribution portfolio. These products typically do not have pictures or detailed descriptions. However, we are committed to improving your shopping experience. Please use the form below to provide feedback related to the content on this product.
Product Title
Spot an opportunity for improvement?Share a Content Correction