Promotional price valid on web orders only. Your contract pricing may differ. Interested in signing up for a dedicated account number?
Learn More
Learn More
MKP-3/DUSP6 Rabbit anti-Human, Mouse, Rat, Clone: 1V5L10, Novus Biologicals™

Rabbit Monoclonal Antibody
Supplier: Novus Biologicals NBP31525220UL
This item is not returnable.
View return policy
Description
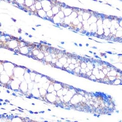
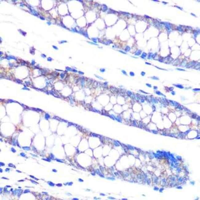
MKP-3/DUSP6 Monoclonal antibody specifically detects MKP-3/DUSP6 in Human, Mouse, Rat samples. It is validated for Western Blot, Immunohistochemistry, Immunohistochemistry (Paraffin)Specifications
| MKP-3/DUSP6 | |
| Monoclonal | |
| Unconjugated | |
| PBS, 0.05% BSA, 50% glycerol, pH7.3 | |
| Rabbit | |
| Affinity purified | |
| RUO | |
| Primary | |
| Human, Mouse, Rat | |
| Purified |
| Western Blot, Immunohistochemistry, Immunohistochemistry (Paraffin) | |
| 1V5L10 | |
| Western Blot 1:500 - 1:2000, Immunohistochemistry 1:50 - 1:200, Immunohistochemistry-Paraffin | |
| dual specificity phosphatase 6, Dual specificity protein phosphatase PYST1, EC 3.1.3.16, EC 3.1.3.48, MAP kinase phosphatase 3, Mitogen-activated protein kinase phosphatase 3, MKP-3, MKP3serine/threonine specific protein phosphatase, PYST1dual specificity protein phosphatase 6 | |
| A synthetic peptide corresponding to a sequence within amino acids 282-381 of human MKP-3/DUSP6 (Q16828). ARGKNCGVLVHCLAGISRSVTVTVAYLMQKLNLSMNDAYDIVKMKKSNISPNFNFMGQLLDFERTLGLSSPCDNRVPAQQLYFTTPSNQNVYQVDSLQST | |
| 20 μg | |
| Cell Cycle and Replication | |
| 1848 | |
| Store at -20°C. Avoid freeze-thaw cycles. | |
| IgG |
Product Content Correction
Your input is important to us. Please complete this form to provide feedback related to the content on this product.
Product Title
Spot an opportunity for improvement?Share a Content Correction